ページの本文へ移動

ZytoFast human lg-kappa/lg-lambda CISH Kit  
ZytoFast (商標名)

※サムネイル画像をクリックすると拡大画像が表示されます。


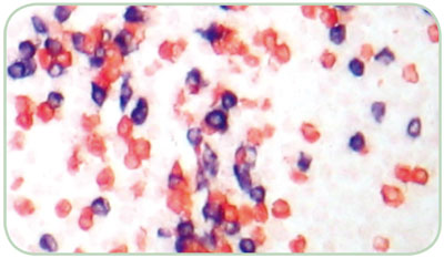
ZytoFast(R) human Ig-kappa/Ig-lambda CISH キットを用いた、骨髄生検パラフィン包埋標本の CISH 解析。

適用 in situ Hybridization
標識物 Digoxigenine
Biotin
メーカー 品番 包装
ZYV T-1005-40 40 TEST
希望販売価格 ¥152,000

※表示価格について

当社在庫 なし
納期目安 2週間程度
法規制 化管
保存温度 4℃

 

商品のお問い合わせはこちら

 

メーカー情報
メーカー名 ZytoVision GmbH
略号 ZYV
関連情報
同一品名検索
※当社では商品情報の適切な管理に努めておりますが、表示される法規制情報は最新でない可能性があります。
 また法規制情報の表示が無いものは、必ずしも法規制に非該当であることを示すものではありません。
 商品のお届け前に最新の製品法規制情報をお求めの際はこちらへお問い合わせください。  
※当社取り扱いの試薬・機器製品および受託サービス・創薬支援サービス(納品物、解析データ等)は、研究用としてのみ販売しております。
 人や動物の医療用・臨床診断用・食品用としては、使用しないように、十分ご注意ください。
 法規制欄に体外診断用医薬品と記載のものは除きます。
※リンク先での文献等のダウンロードに際しましては、掲載元の規約遵守をお願いします。
※CAS Registry Numbers have not been verified by CAS and may be inaccurate.

関連商品

ページTOPへ

© COSMO BIO