ページの本文へ移動

Anti Smoothelin  

※サムネイル画像をクリックすると拡大画像が表示されます。


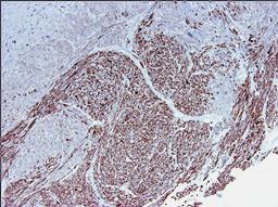
Figure 1: Immunohistochemistry on frozen section of chicken gizzard striated muscle

別品名 0
交差種 Human
Porcine
Chicken
Canine
Monkey
Feline
適用 Western Blot
IHC paraffin embedding section
IHC frozen section
Immunocytochemistry (cell)
免疫動物 Mouse
クローン R4A
抗体クラス IgG1
標識物 Unlabeled
精製度 Purified
その他 [UniProt ID]P53814
参考文献 1. van der Loop, F. T., Schaart, G., Timmer, E. D., Ramaekers, F. C., and van Eys, G. J. (1996). Smoothelin, a novel cytoskeletal protein specific for smooth muscle cells, J Cell Biol 134, 401-11.
2. Wehrens, X. H., Mies, B., Gimona, M., Ramaekers, F. C., Van Eys, G. J., and Small, J. V. (1997). Localization of smoothelin in avian smooth muscle and identifiCation of a vascular-specific isoform, FEBS Lett 405, 315-20.
3. van der Loop, F. T., Gabbiani, G., Kohnen, G., Ramaekers, F. C., and van Eys, G. J. (1997). Differentiation of smooth muscle cells in Human blood vessels as defined by smoothelin, a novel marker for the contractile phenotype, Arterioscler Thromb Vasc Biol 17, 665-71.
4. Christen, T., Bochaton-Piallat, M. L., Neuville, P., Rensen, S., Redard, M., van Eys, G., and Gabbiani, G. (1999). Cultured porcine coronary artery smooth muscle cells. A new model with advanced differentiation, Circ Res 85, 99-107.
5. Johansson, B., Eriksson, A., Ramaekers, F., and Thornell, L. (1999). Smoothelin in adult and developing Human arteries and myocardium, Histochem Cell Biol 112, 291-9.
6. Johansson, B., Eriksson, A., Ramaekers, F., and Thornell, L. E. (1999). Smoothelin and intermediate filament proteins in Human aortocoronary saphenous vein by-pass grafts, Histochem J 31, 723-7.
7. Deruiter, M. C., Rensen, S. S., Coolen, G. P., Hierck, B. P., Bergwerff, M., Debie, W. M., Gittenberger-De Groot, A. C., and Van Eys, G. J. (2001). Smoothelin expression during Chicken embryogenesis: detection of an embryonic isoform, Dev Dyn 221, 460-3.
8. Council, L., Hameed, O. (2009). Differential expression of immunohistochemical markers in bladder smooth muscle and myofibroblasts, and the potential utility of desmin, smoothelin, and vimentin in staging of bladder carcinoma Modern Pathology 22, 639-50.
9. Coco, D.P., Hirsch, M.S., Hornick, J.L. (2009). Smoothelin is a specific marker for smooth muscle neoplasms of the gastrointestinal tract. Am J Surg Pathol 33, 1795-1801.
メーカー 品番 包装
NOR MUB1700P 100 UG
希望販売価格 ¥91,000

※表示価格について

当社在庫 なし
納期目安 約10日
保存温度 4℃

 

商品のお問い合わせはこちら

 

メーカー情報
メーカー名 Vector Laboratories
略号 NOR
※当社では商品情報の適切な管理に努めておりますが、表示される法規制情報は最新でない可能性があります。
 また法規制情報の表示が無いものは、必ずしも法規制に非該当であることを示すものではありません。
 商品のお届け前に最新の製品法規制情報をお求めの際はこちらへお問い合わせください。  
※当社取り扱いの試薬・機器製品および受託サービス・創薬支援サービス(納品物、解析データ等)は、研究用としてのみ販売しております。
 人や動物の医療用・臨床診断用・食品用としては、使用しないように、十分ご注意ください。
 法規制欄に体外診断用医薬品と記載のものは除きます。
※リンク先での文献等のダウンロードに際しましては、掲載元の規約遵守をお願いします。
※CAS Registry Numbers have not been verified by CAS and may be inaccurate.

関連商品

ページTOPへ

© COSMO BIO