|
※サムネイル画像をクリックすると拡大画像が表示されます。
Western Blot of TrueBlotR Anti-Rabbit Ig IP Agarose Beads. Lane 1: Protein Standard Opal Pre-stained (p/n MB-210-0500). Lane 2: Rb-a-GFP Input. Lane 3: Rb-a-GFP Unbound. Lane 4: Rb-a-Elute. Primary Antibody: TrueBlotR Anti-Rabbit Ig IP Agarose Beads (00-8800-25) at 1 μg/mL for overnight at 4?C. Secondary Antibody: TrueBlotR Rabbit Secondary HRP Antibody (p/n 18-8816-33) at 1:10,000 for 30 min at RT. Block: MB-070 at RT for 30 min. Predicted/Observed size: 27 kDa.
ADGRF1 overexpression activates Gαs/Gαq pathways. BT474 clone 1 and SKBR3 clone 2 were grown in absence (−) or presence (+) of doxycycline (Dox). A, Co-immunoprecipitation with anti-Gαs and immunoblotting with anti-HA indicate that ADGRF1 couples to Gαs in both BT474 and SKBR3. B, Basal levels of cAMP were significantly increased upon ADGRF1 overexpression with Dox in both cells. C, Co?immunoprecipitation with anti-Gαq and immunoblotting with anti-HA indicate that ADGRF1 couples also to Gαq in both cells. D, Basal levels of IP1 were significantly increased upon ADGRF1 overexpression with Dox in BT474 but not SKBR3 cells. *indicates statistically significant difference?P?< .05 by unpaired?t?test (N = 3?4). FIGURE 5. PMID: 34110646.
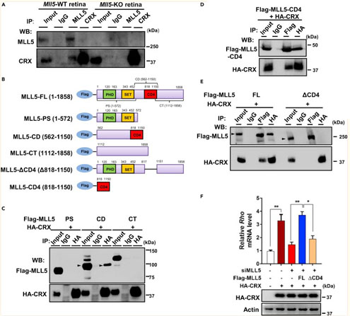
MLL5 interacts with CRX via its CD4 domain(A) Interaction between endogenous MLL5 and CRX. Equivalent amounts of retinal lysates from?Mll5-WT or?Mll5-KO mice were immunoprecipitated with anti-MLL5 antibody, anti-CRX or normal rabbit IgG, followed by western blotting detection.(B) Schematic representation of MLL5 truncated mutants. PS, PHD/SET domain; CD, central domain; CT, C-terminal domain. ΔCT4, deleted CT4 domain.(C) MLL5 central domain (MLL5-CD) binding to CRX. HEK293T cells expressing HA-CRX together with Flag-MLL5-PS, Flag-MLL5-CD, or Flag-MLL5-CT were subjected to immunoprecipitation with the indicated antibodies followed by western blotting detection.(D) Interaction between MLL5-CD4 and CRX. HEK293T cells expressing HA-CRX and Flag-MLL5-CD4 were immunoprecipitated with anti-HA antibodies and detected by anti-Flag and anti-HA antibodies.(E) Depletion of MLL5 CD4 compromises MLL5 interaction with CRX. HEK293T cells expressing HA-CRX along with Flag-MLL5-FL or Flag-MLL5-ΔCD4 were immunoprecipitated with anti-HA and anti-Flag antibodies followed by western blotting detection.(F) MLL5-ΔCD4 was less potent than MLL5-WT at rescuing transcription of?Rho.?qPCR analysis of?Rho?transcript in 661W (CRX OE) cells transfected with MLL5-siRNA (siMLL5) followed by transduction with the indicated lentivirus. Rho expression was normalized to the expression of Tbp. Error bars represent SEM (n?= 3), ??p?< 0.01, Student’s t test. Results in (A?F) are representative of at least three experimental repeats. Fig 4. PMID: 35359806.
|
|
|
Western Blot of TrueBlotR Anti-Rabbit Ig IP Agarose Beads. Lane 1: Protein Standard Opal Pre-stained (p/n MB-210-0500). Lane 2: Rb-a-GFP Input. Lane 3: Rb-a-GFP Unbound. Lane 4: Rb-a-Elute. Primary Antibody: TrueBlotR Anti-Rabbit Ig IP Agarose Beads (00-8800-25) at 1 μg/mL for overnight at 4?C. Secondary Antibody: TrueBlotR Rabbit Secondary HRP Antibody (p/n 18-8816-33) at 1:10,000 for 30 min at RT. Block: MB-070 at RT for 30 min. Predicted/Observed size: 27 kDa.
|
|
| 別品名 |
Anti-Rabbit Immunoglobulin Gamma, Agarose-conjugated IgG, Gt-a-Rb IgG, Goat-anti-Rabbit IgG, TrueBlot for immunoprecipitation, IP beads for TrueBlot, Anti-Rabbit IgG IP agarose
|
| 交差種 |
Rabbit
|
| 適用 |
Western Blot Immunoprecipitation
|
| 免疫動物 |
Goat
|
| 標識物 |
Agarose
|
| 必須品 |
Rabbit TrueBlot 品番18-8816-33と組み合わせてお使いください。
|
| その他 |
[結合能]2.5 mg Ig/ml beads
|
| 参考文献 |
[Pub Med ID]18573880
|
|
| メーカー |
品番 |
包装 |
|
RKL
|
00-8800-25
|
2.5 ML
|
※表示価格について
| 当社在庫 |
なし
|
| 納期目安 |
約10日
|
| 保存温度 |
4℃禁凍結
|
|
※当社では商品情報の適切な管理に努めておりますが、表示される法規制情報は最新でない可能性があります。
また法規制情報の表示が無いものは、必ずしも法規制に非該当であることを示すものではありません。
商品のお届け前に最新の製品法規制情報をお求めの際はこちらへお問い合わせください。
|
※当社取り扱いの試薬・機器製品および受託サービス・創薬支援サービス(納品物、解析データ等)は、研究用としてのみ販売しております。
人や動物の医療用・臨床診断用・食品用としては、使用しないように、十分ご注意ください。
法規制欄に体外診断用医薬品と記載のものは除きます。
|
|
※リンク先での文献等のダウンロードに際しましては、掲載元の規約遵守をお願いします。
|
|
※CAS Registry Numbers have not been verified by CAS and may be inaccurate.
|