ページの本文へ移動

Anti FOXO1  

※サムネイル画像をクリックすると拡大画像が表示されます。


別品名 FKH 1, FKH1, FKHR, forkhead box O1, Forkhead box protein O1
別包装 あり
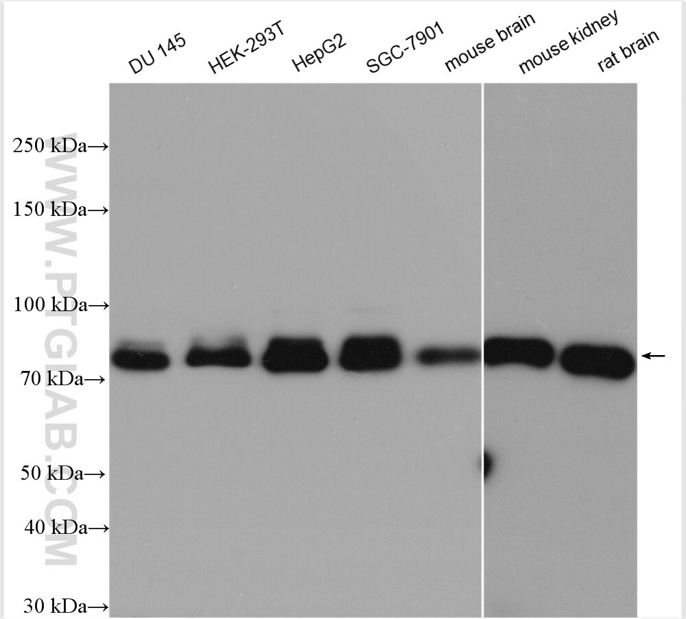
種由来 Human
交差種 Human
Mouse
Rat
適用 Western Blot
IHC paraffin embedding section
Enzyme Linked Immunosorbent Assay
Immuno Fluorescence
Immunocytochemistry (cell)
Intracellular Staining for Flow Cytometry
Immunoprecipitation
Chromatin Immunoprecipitation
免疫動物 Rabbit
抗体クラス IgG
標識物 Unlabeled
精製度 Affinity Purified
GENE ID 2308
Accession No.(Gene/Protein) BC021981
概要 The FOXO1 antibody from Proteintech is a rabbit polyclonal antibody to a recombinant protein of human FOXO1. This antibody recognizes human, mouse, rat antigen. The FOXO1 antibody has been validated for the following applications: WB, IHC, IF/ICC, FC (Intra), IP, ELISA analysis.
その他 [Buffer]PBS with 0.02% sodium azide and 50% glycerol pH 7.3.
使用文献 [Pub Med ID] 36480166, 30559440, 32191383, 34822318, 35077859, 24039594, 27261335, 32069774, 35811051, 32278306, 32014572, 35938526, 31714893, 32181755, 34497345, 34416339, 28445931, 35342363, 31377292, 35203583 他50件以上
メーカー 品番 包装
PGI 18592-1-AP 150 UL
希望販売価格 ¥67,000

※表示価格について

当社在庫 あり
保存温度 -20℃

 

商品のお問い合わせはこちら

 

メーカー情報
メーカー名 Proteintech Group, Inc.
略号 PGI
※当社では商品情報の適切な管理に努めておりますが、表示される法規制情報は最新でない可能性があります。
 また法規制情報の表示が無いものは、必ずしも法規制に非該当であることを示すものではありません。
 商品のお届け前に最新の製品法規制情報をお求めの際はこちらへお問い合わせください。  
※当社取り扱いの試薬・機器製品および受託サービス・創薬支援サービス(納品物、解析データ等)は、研究用としてのみ販売しております。
 人や動物の医療用・臨床診断用・食品用としては、使用しないように、十分ご注意ください。
 法規制欄に体外診断用医薬品と記載のものは除きます。
※リンク先での文献等のダウンロードに際しましては、掲載元の規約遵守をお願いします。
※CAS Registry Numbers have not been verified by CAS and may be inaccurate.

関連商品

ページTOPへ

© COSMO BIO