|
※サムネイル画像をクリックすると拡大画像が表示されます。
品番: 218 211
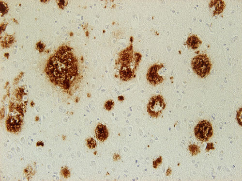
アルツハイマー病患者のパラフィン包埋脳切片を免疫染色した(1:500 希釈)。
アミロイド斑における免疫反応性を、発色基質にジアミノベンジジンを用いて示した。核は、ヘマトキシリン(青)で対比染色した。
画像のご提供: O. Wirths, Dept. of Psychiatry, Div. of Molecular Psychiatry; University of Goettingen
|
|
|
品番: 218 211
アルツハイマー病患者のパラフィン包埋脳切片を免疫染色した(1:500 希釈)。
アミロイド斑における免疫反応性を、発色基質にジアミノベンジジンを用いて示した。核は、ヘマトキシリン(青)で対比染色した。
画像のご提供: O. Wirths, Dept. of Psychiatry, Div. of Molecular Psychiatry; University of Goettingen
|
|
| 別品名 |
Beta-APP, ABPP, Abeta, Abeta 38, Abeta 40, Abeta 42, Abeta 43
|
| 種由来 |
Human
|
| 交差種 |
Human Mouse
|
| 適用 |
Western Blot IHC paraffin embedding section Enzyme Linked Immunosorbent Assay Immunohistochemistry Immunocytochemistry (cell)
|
| 免疫動物 |
Mouse
|
| クローン |
NT244
|
| 抗体クラス |
IgG2b
|
| 抗原部位 |
a.a.1-16
|
| 精製度 |
Purified
|
| Accession No.(Gene/Protein) |
P05067
|
| 参考文献 |
[Pub Med ID]23481684, 24305500, 22232007, 25973140
|
|
| メーカー |
品番 |
包装 |
|
SPS
|
218 211
|
100 UG
|
※表示価格について
| 当社在庫 |
なし
|
| 納期目安 |
約10日
|
| 保存温度 |
4℃
|
|
※当社では商品情報の適切な管理に努めておりますが、表示される法規制情報は最新でない可能性があります。
また法規制情報の表示が無いものは、必ずしも法規制に非該当であることを示すものではありません。
商品のお届け前に最新の製品法規制情報をお求めの際はこちらへお問い合わせください。
|
※当社取り扱いの試薬・機器製品および受託サービス・創薬支援サービス(納品物、解析データ等)は、研究用としてのみ販売しております。
人や動物の医療用・臨床診断用・食品用としては、使用しないように、十分ご注意ください。
法規制欄に体外診断用医薬品と記載のものは除きます。
|
|
※リンク先での文献等のダウンロードに際しましては、掲載元の規約遵守をお願いします。
|
|
※CAS Registry Numbers have not been verified by CAS and may be inaccurate.
|