|
※サムネイル画像をクリックすると拡大画像が表示されます。
Immunofluorescence analysis of NIH/3T3 cells, using Akt (Phospho-Ser246) Antibody. The picture on the right is blocked with the phospho peptide.
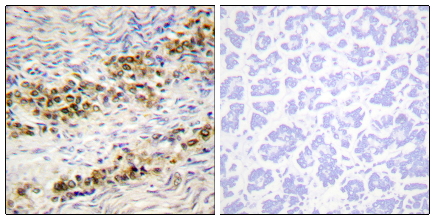
Immunohistochemistry analysis of paraffin-embedded human ovary, using Akt (Phospho-Ser246) Antibody. The picture on the right is blocked with the phospho peptide.
Western Blot analysis of HeLa cells using Phospho-Akt1 (S246) Polyclonal Antibody diluted at 1:1000
Western Blot analysis of HEPG2 KB using Phospho-Akt1 (S246) Polyclonal Antibody diluted at 1:1000
Western Blot analysis of various cells using Phospho-Akt1 (S246) Polyclonal Antibody diluted at 1:1000
Western blot analysis of lysates from HeLa cells treated with Etoposide 25uM 24h, using Akt (Phospho-Ser246) Antibody. The lane on the right is blocked with the phospho peptide.
The picture was kindly provided by our customer,antibody was diluted at 1:500
|
|
|
Immunofluorescence analysis of NIH/3T3 cells, using Akt (Phospho-Ser246) Antibody. The picture on the right is blocked with the phospho peptide.
|
|
| 別品名 |
AKT; AKT1 kinase; C-AKT; kinase Akt1; PKB; PKB-alpha; Protein kinase B; RAC; RAC-alpha serine/threonine kinase; RAC-PK-alpha
|
| 種由来 |
Human
|
| 交差種 |
Human Mouse Rat
|
| 適用 |
Western Blot IHC paraffin embedding section Enzyme Linked Immunosorbent Assay Immuno Fluorescence Immunocytochemistry (cell)
|
| 免疫動物 |
Rabbit
|
| 抗体クラス |
IgG
|
| 抗原部位 |
a.a.212-261
|
| 精製度 |
Affinity Purified
|
| 翻訳後修飾 |
リン酸化
|
| GENE ID |
207
|
| Accession No.(Gene/Protein) |
P31749
|
| Gene Symbol |
AKT1
|
| 分子量 |
55 kDa
|
|
| メーカー |
品番 |
包装 |
|
ASY
|
A0608
|
50 UL [1 mg/ml]
|
※表示価格について
| 当社在庫 |
なし
|
| 納期目安 |
2週間程度
|
| 保存温度 |
-20℃
|
|
※当社では商品情報の適切な管理に努めておりますが、表示される法規制情報は最新でない可能性があります。
また法規制情報の表示が無いものは、必ずしも法規制に非該当であることを示すものではありません。
商品のお届け前に最新の製品法規制情報をお求めの際はこちらへお問い合わせください。
|
※当社取り扱いの試薬・機器製品および受託サービス・創薬支援サービス(納品物、解析データ等)は、研究用としてのみ販売しております。
人や動物の医療用・臨床診断用・食品用としては、使用しないように、十分ご注意ください。
法規制欄に体外診断用医薬品と記載のものは除きます。
|
|
※リンク先での文献等のダウンロードに際しましては、掲載元の規約遵守をお願いします。
|