|
※サムネイル画像をクリックすると拡大画像が表示されます。
Western Blot analysis of various cells using p53 Polyclonal Antibody diluted at 1:2000
Immunofluorescence analysis of HeLa cells, using p53 Antibody. The picture on the right is blocked with the synthesized peptide.
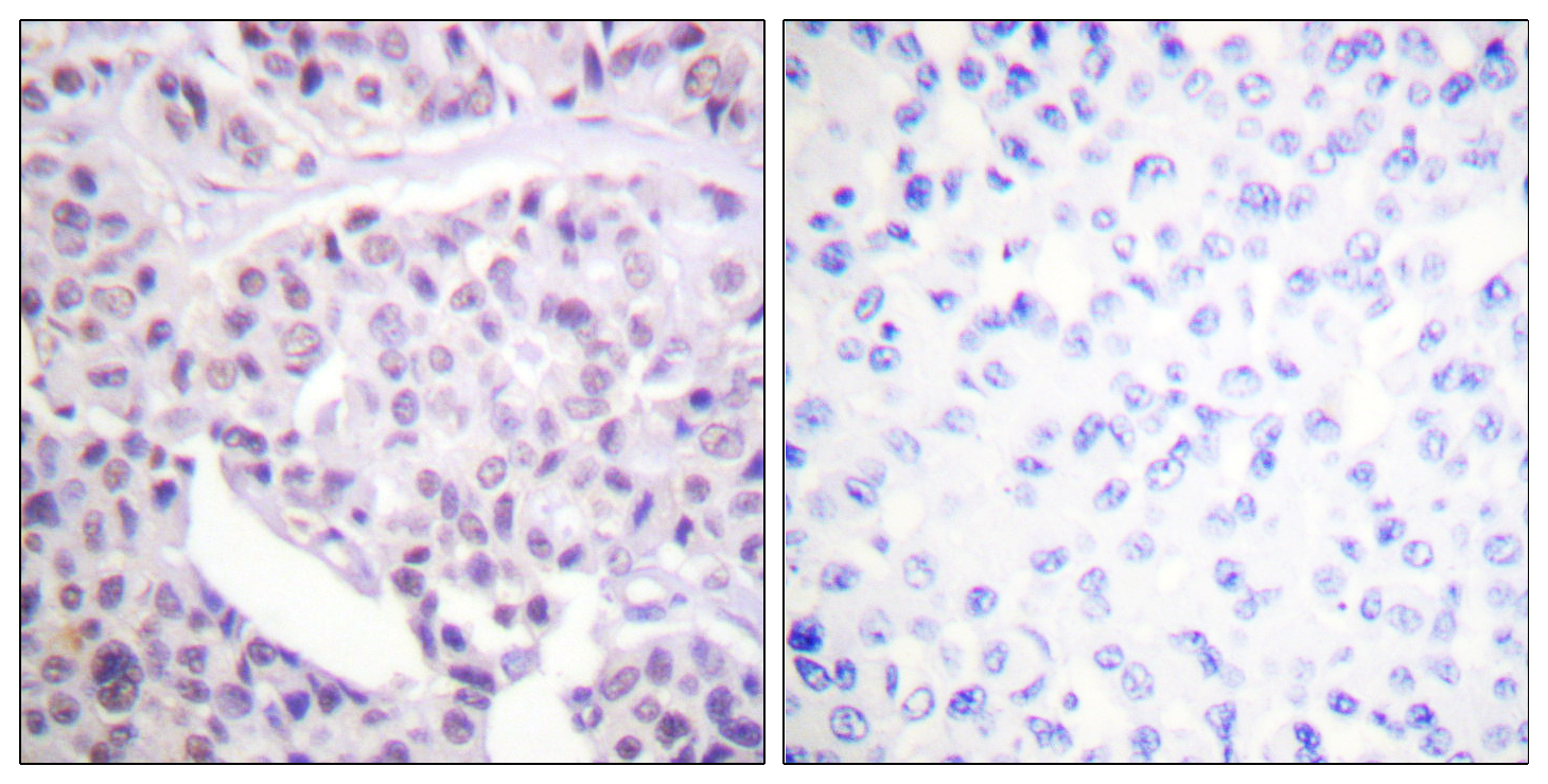
Immunohistochemistry analysis of paraffin-embedded human breast carcinoma tissue, using p53 Antibody. The picture on the right is blocked with the synthesized peptide.
|
|
|
Western Blot analysis of various cells using p53 Polyclonal Antibody diluted at 1:2000
|
|
| 別品名 |
Antigen NY-CO-13; Cellular tumor antigen p53; Phosphoprotein p53; TP53; tumor protein p53; Tumor suppressor p53
|
| 種由来 |
Human
|
| 交差種 |
Human Monkey
|
| 適用 |
Western Blot IHC paraffin embedding section Enzyme Linked Immunosorbent Assay Immuno Fluorescence Immunocytochemistry (cell)
|
| 免疫動物 |
Rabbit
|
| 抗体クラス |
IgG
|
| 抗原部位 |
a.a.344-393
|
| 標識物 |
Unlabeled
|
| 精製度 |
Affinity Purified
|
| GENE ID |
7157
|
| Accession No.(Gene/Protein) |
P04637
|
| Gene Symbol |
TP53
|
| 分子量 |
43 kDa
|
|
| メーカー |
品番 |
包装 |
|
ASY
|
B0530
|
50 UL [1 mg/ml]
|
※表示価格について
| 当社在庫 |
なし
|
| 納期目安 |
2週間程度
|
| 保存温度 |
-20℃
|
|
※当社では商品情報の適切な管理に努めておりますが、表示される法規制情報は最新でない可能性があります。
また法規制情報の表示が無いものは、必ずしも法規制に非該当であることを示すものではありません。
商品のお届け前に最新の製品法規制情報をお求めの際はこちらへお問い合わせください。
|
※当社取り扱いの試薬・機器製品および受託サービス・創薬支援サービス(納品物、解析データ等)は、研究用としてのみ販売しております。
人や動物の医療用・臨床診断用・食品用としては、使用しないように、十分ご注意ください。
法規制欄に体外診断用医薬品と記載のものは除きます。
|
|
※リンク先での文献等のダウンロードに際しましては、掲載元の規約遵守をお願いします。
|