|
※サムネイル画像をクリックすると拡大画像が表示されます。
46-156 (0.3ug/ml) staining of Human Heart (A) lysate + Blocking peptide (B) (35ug protein in RIPA buffer). Detected by chemiluminescence.
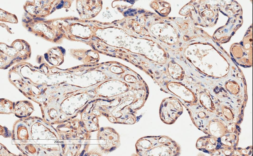
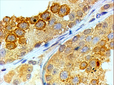
46-156 (2ug/ml) staining of paraffin embedded Human Placenta. Microwaved antigen retrieval with citrate buffer pH 6, HRP-staining.
46-156 Negative Control showing staining of paraffin embedded Human Placenta, with no primary antibody.
46-156 Immunofluorescence analysis of paraformaldehyde fixed A431 cells, permeabilized with 0.15% Triton. Primary incubation 1hr (10ug/ml) followed by Alexa Fluor 488 secondary antibody (2ug/ml), showing cytoplasmic staining. The nuclear stain is DAPI (b
46-156 Immunofluorescence analysis of paraformaldehyde fixed U2OS cells, permeabilized with 0.15% Triton. Primary incubation 1hr (10ug/ml) followed by Alexa Fluor 488 secondary antibody (2ug/ml), showing cytoplasmic staining. The nuclear stain is DAPI (b
46-156 Flow cytometric analysis of paraformaldehyde fixed Jurkat cells (blue line), permeabilized with 0.5% Triton. Primary incubation 1hr (10ug/ml) followed by Alexa Fluor 488 secondary antibody (1ug/ml). IgG control: Unimmunized goat IgG (black line) f
|
|
|
46-156 (0.3ug/ml) staining of Human Heart (A) lysate + Blocking peptide (B) (35ug protein in RIPA buffer). Detected by chemiluminescence.
|
|
| 別品名 |
CD274 antigen, PDCD1LG1, B7-H, B7H1, PDL1, PD-L1, PDCD1L1, programmed cell death 1 ligand 1, HGNC:17635
|
| 交差種 |
Human
|
| 適用 |
Western Blot Enzyme Linked Immunosorbent Assay Immunohistochemistry Immuno Fluorescence Flow Cytometry
|
| 免疫動物 |
Goat
|
| 抗原部位 |
C-terminus
|
| 標識物 |
Unlabeled
|
| 精製度 |
Ig fraction - Ammonium Sulphate
|
| GENE ID |
29126
|
| Accession No.(Gene/Protein) |
NP_054862.1, NP_001254635.1, Q9NZQ7
|
| Gene Symbol |
CD274
|
| 推奨品 |
ポジティブコントロール 品番:1301 - Human Heart Tissue Lysate
|
| その他 |
[Protein GI Number]7661534 [Swiss-Prot No]Q9NZQ7
|
| 参考文献 |
Thompson RH, Gillett MD, Cheville JC, Lohse CM, Dong H, Webster WS, Krejci KG, Lobo JR, Sengupta S, Chen L, Zincke H, Blute ML, Strome SE, Leibovich BC, Kwon ED. Costimulatory B7-H1 in renal cell carcinoma patients: Indicator of tumor aggressiveness and potential therapeutic target. Proc Natl Acad Sci USA. 2004 Dec 7;101(49):17174-9. Epub 2004 Dec 7.
|
|
| メーカー |
品番 |
包装 |
|
PSC
|
46-156
|
100 UG [500 ug/mL]
|
※表示価格について
| 当社在庫 |
なし
|
| 納期目安 |
3週間程度
|
| 保存温度 |
-20℃
|
|
※当社では商品情報の適切な管理に努めておりますが、表示される法規制情報は最新でない可能性があります。
また法規制情報の表示が無いものは、必ずしも法規制に非該当であることを示すものではありません。
商品のお届け前に最新の製品法規制情報をお求めの際はこちらへお問い合わせください。
|
※当社取り扱いの試薬・機器製品および受託サービス・創薬支援サービス(納品物、解析データ等)は、研究用としてのみ販売しております。
人や動物の医療用・臨床診断用・食品用としては、使用しないように、十分ご注意ください。
法規制欄に体外診断用医薬品と記載のものは除きます。
|
|
※リンク先での文献等のダウンロードに際しましては、掲載元の規約遵守をお願いします。
|
|
※CAS Registry Numbers have not been verified by CAS and may be inaccurate.
|