|
※サムネイル画像をクリックすると拡大画像が表示されます。
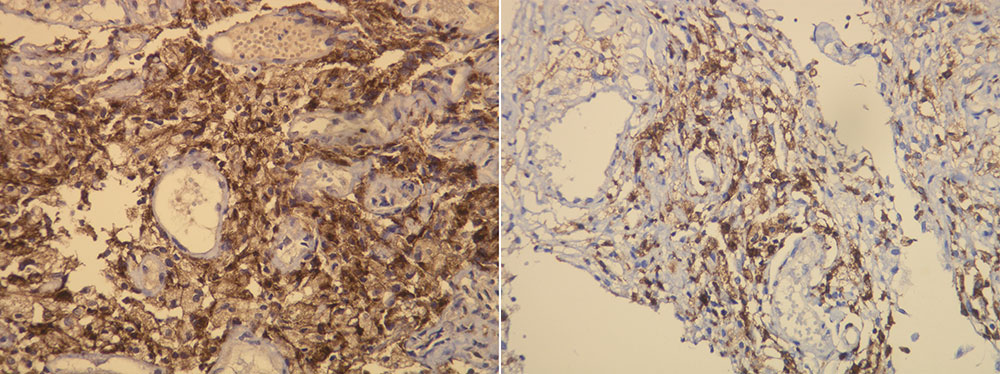
Formalin fixed and paraffin-embedded human brain stained with anti-CD163 (DB045) antibody.
|
|
|
| 種由来 |
Human
|
| 交差種 |
Human
|
| 適用 |
IHC paraffin embedding section
|
| 免疫動物 |
Rabbit
|
| クローン |
K20-T
|
| 抗体クラス |
IgG
|
| 抗原部位 |
N-terminus, a.a.134-148
|
| 標識物 |
Unlabeled
|
| 精製度 |
Affinity Purified
|
| Accession No.(Gene/Protein) |
Q86VB7
|
| 概要 |
Hemoglobin scavenger receptor-CD163 is expressed on surface of monocytes and macrophages with the expression alteration in several types of cancer. Infiltration of these cells in tumor tissue is used for immunochemical diagnostics of different types of cancer. A connection between CD163 positivity and acute myeloid leukemia with monocytic differentiation is evident.
|
| 参考文献 |
M. Weber et al (2015) Br J Cancer 113, 510-9; F. Wehrhan et al (2014) BMC Cancer, 14:522; J. Park, E.B. Lee, Y.W. Song (2014) Scand J Rheumatol 43, 403-8; M. Weber et al (2014) J Craniomaxillofac Surg 42, 1087-94; A. Geirsson et al (2012) Circulation 126, S189-97; X.Z. Ye et al (2012) J Immunol 189, 444-53; V.L. Gadd et al (2013) Liver Int 33, 569-79; J. Drouin-Ouellet et al (2015) Ann Neurol 78, 160-77; F. Cicchetti et al (2014) Ann Neurol 76, 31-42; Z.K. O'Brown et al (2015) PLoS Genet 11; K20-T; A.K. Azad et al (2015) J Immunol 195, 2019-29; M.C. Herwig et al (2013) Exp Eye Res 107, 52-8; R. Kridel et al (2015) Clin Cancer Res 15, 3428-35; M. Trbusic et al (2012) J Neurol 3, 448-56; M. Svajdler et al (2014) Am J Dermatopathol 8, 669-72; M. Vered et al (2013) Clin Oral Investig 5, 1365-73; M.C. Herwig et al (2015) Curr Eye Res 6, 604-10; G. Huang et al (2014) Am J Transplant 14, 1061-72; X. Zhang et al (2016) BMC Complementary and Alternative Medicine 16, 299; A. Kahn et al (2017) J Oral Maxillofac Surg, 30 003-4
|
|
| メーカー |
品番 |
包装 |
|
DBB
|
DB 045-1
|
1 ML
|
※表示価格について
| 当社在庫 |
なし
|
| 納期目安 |
約10日
|
| 保存温度 |
4℃禁凍結
|
|
※当社では商品情報の適切な管理に努めておりますが、表示される法規制情報は最新でない可能性があります。
また法規制情報の表示が無いものは、必ずしも法規制に非該当であることを示すものではありません。
商品のお届け前に最新の製品法規制情報をお求めの際はこちらへお問い合わせください。
|
※当社取り扱いの試薬・機器製品および受託サービス・創薬支援サービス(納品物、解析データ等)は、研究用としてのみ販売しております。
人や動物の医療用・臨床診断用・食品用としては、使用しないように、十分ご注意ください。
法規制欄に体外診断用医薬品と記載のものは除きます。
|
|
※リンク先での文献等のダウンロードに際しましては、掲載元の規約遵守をお願いします。
|