|
※サムネイル画像をクリックすると拡大画像が表示されます。
Cell lysates of Jurkat and HeLa (30ug) were resolved by SDS-PAGE, transferred to NC membrane and probed with anti-human HMGB1 (1:1,000). Proteins were visualized using a goat anti-mouse secondary antibody conjugated to HRP and an ECL detection system.
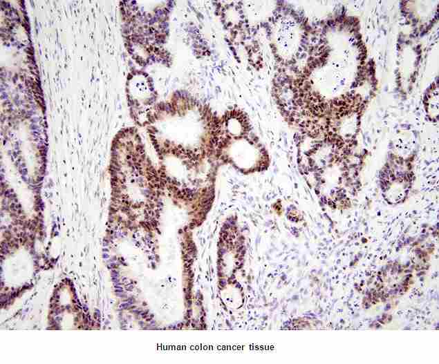
Paraffin embedded sections of human colon cancer tissue were incubated with anti-human HMGB1 (1:200) for 2 hours at room temperature. Antigen retrieval was performed in 0.1M sodium citrate buffer and detected using Diaminobenzidine (DAB)
|
|
|
Cell lysates of Jurkat and HeLa (30ug) were resolved by SDS-PAGE, transferred to NC membrane and probed with anti-human HMGB1 (1:1,000). Proteins were visualized using a goat anti-mouse secondary antibody conjugated to HRP and an ECL detection system.
|
|
| 別品名 |
High-mobility group box1, HMG1, HMG3, SBP-1, High-mobility group box1, HMGB1, High-mobility group box1, high-mobility group (nonhistone chromosomal) protein 1, Sulfoglucuronyl carbohydrate binding protein, Amphoterin, high mobility group protein 1, DKFZp686A04236
|
| 種由来 |
Human
|
| 交差種 |
Human
|
| 適用 |
Western Blot Enzyme Linked Immunosorbent Assay Immunohistochemistry
|
| 免疫動物 |
Mouse
|
| クローン |
J2E1
|
| 抗体クラス |
IgG2bκ
|
| 抗原部位 |
a.a.1-215
|
| 標識物 |
Unlabeled
|
| 精製度 |
Ig fraction - Protein G
|
| Accession No.(Gene/Protein) |
NP_002119, P09429
|
| 概要 |
High mobility group box1 protein (HMGB1) is a very abundant chromatin-binding protein residing in the eukaryotic cell nucleus and acting in the assembly of nucleoprotein complexes. Inside the cell, HMGB1 binds to DNA and has a role in transcriptional regulation. Outside the cell, HMGB1 acts as a cytokine and has activities that resemble those of tumor necrosis factor.
|
| 参考文献 |
Palumbo R J, et al., (2004) Cell Biol. Feb 2 164(3) Andersson U, et al., (2002) Leukoc Biol. Dec. 72(6):1084-91
|
|
| メーカー |
品番 |
包装 |
|
ATG
|
AHM0915
|
50 UL [1mg/ml]
|
※表示価格について
| 当社在庫 |
なし
|
| 納期目安 |
1週間程度
|
| 保存温度 |
-70℃
|
|
※当社では商品情報の適切な管理に努めておりますが、表示される法規制情報は最新でない可能性があります。
また法規制情報の表示が無いものは、必ずしも法規制に非該当であることを示すものではありません。
商品のお届け前に最新の製品法規制情報をお求めの際はこちらへお問い合わせください。
|
※当社取り扱いの試薬・機器製品および受託サービス・創薬支援サービス(納品物、解析データ等)は、研究用としてのみ販売しております。
人や動物の医療用・臨床診断用・食品用としては、使用しないように、十分ご注意ください。
法規制欄に体外診断用医薬品と記載のものは除きます。
|
|
※リンク先での文献等のダウンロードに際しましては、掲載元の規約遵守をお願いします。
|
|
※CAS Registry Numbers have not been verified by CAS and may be inaccurate.
|