|
※サムネイル画像をクリックすると拡大画像が表示されます。
Figure 1. IHC analysis of PCK using anti-PCK antibody (MA1081). PCK was detected in a paraffin-embedded section of Human Placenta tissue. Heat mediated antigen retrieval was performed in EDTA buffer (pH 8.0, epitope retrieval solution). The tissue section was blocked with 10% goat serum. The tissue section was then incubated with 0.5 μg/ml mouse anti-PCK Antibody (MA1081) overnight at 4°C. Peroxidase Conjugated Goat Anti-mouse IgG was used as secondary antibody and incubated for 30 minutes at 37°C. The tissue section was developed using HRP Conjugated Mouse IgG Super Vision Assay Kit (Catalog # SV0001) with DAB as the chromogen.
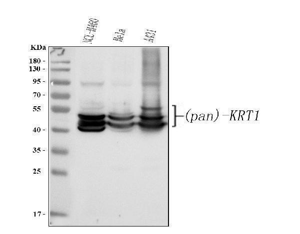
Figure 2. Western blot analysis of PCK using anti-PCK antibody (MA1081). Electrophoresis was performed on a 5-20% SDS-PAGE gel at 70V (Stacking gel) / 90V (Resolving gel) for 2-3 hours. The sample well of each lane was loaded with 30 ug of sample under reducing conditions. Lane 1: human NCL-H460 whole cell lysates. Lane 2: human Hela whole cell lysates. Lane 3: human A431 whole cell lysates. After electrophoresis, proteins were transferred to a nitrocellulose membrane at 150 mA for 50-90 minutes. Blocked the membrane with 5% non-fat milk/TBS for 1.5 hour at RT. The membrane was incubated with mouse anti-PCK antigen affinity purified monoclonal antibody (Catalog # MA1081) at 1 μg/mL overnight at 4°C, then washed with TBS-0.1%Tween 3 times with 5 minutes each and probed with a goat anti-mouse IgG-HRP secondary antibody at a dilution of 1:10000 for 1.5 hour at RT. The signal is developed using an Enhanced Chemiluminescent detection (ECL) kit (Catalog # EK1001) with Tanon 5200 system. A specific band was detected for PCK at approximately 45-60 kDa. The expected band size for PCK is at 66 kDa.
|
|
|
Figure 1. IHC analysis of PCK using anti-PCK antibody (MA1081). PCK was detected in a paraffin-embedded section of Human Placenta tissue. Heat mediated antigen retrieval was performed in EDTA buffer (pH 8.0, epitope retrieval solution). The tissue section was blocked with 10% goat serum. The tissue section was then incubated with 0.5 μg/ml mouse anti-PCK Antibody (MA1081) overnight at 4°C. Peroxidase Conjugated Goat Anti-mouse IgG was used as secondary antibody and incubated for 30 minutes at 37°C. The tissue section was developed using HRP Conjugated Mouse IgG Super Vision Assay Kit (Catalog # SV0001) with DAB as the chromogen.
|
|
| 別品名 |
Keratin, type II cytoskeletal 1;67 kDa cytokeratin;Cytokeratin-1;CK-1;Hair alpha protein;Keratin-1;K1;Type-II keratin Kb1;KRT1;KRTA;
|
| 交差種 |
Human Rat
|
| 適用 |
Western Blot Immunohistochemistry
|
| 免疫動物 |
Mouse
|
| クローン |
C-11+PCK-26+CY-90+KS-1A3+M20+A53-B/A2
|
| 抗体クラス |
Cocktail
|
| 標識物 |
Unlabeled
|
| 精製度 |
Ascites
|
| Accession No.(Gene/Protein) |
P04264
|
| Gene Symbol |
KRT1
|
| 分子量 |
66039 MW
|
| 概要 |
Boster Bio Anti-PCK Antibody (Monoclonal, C-11+PCK-26+CY-90+KS-1A3+M20+A53-B/A2) catalog # MA1081. Tested in IHC, WB applications. This antibody reacts with Human, Rat.
|
| 参考文献 |
1. Rastaldi MP et al. Glomerular podocytes contain neuron-like functional synaptic vesicles. FASEB J 20:976-8 (2006). 2. Wen J et al. Use of superparamagnetic microbeads in tracking subretinal injections. Mol Vis 11:256-62 (2005).
|
|
| メーカー |
品番 |
包装 |
|
BBT
|
MA1081
|
100 UG
|
※表示価格について
| 当社在庫 |
なし
|
| 納期目安 |
1週間程度
|
| 法規制 |
毒
|
| 保存温度 |
-20℃
|
|
※当社では商品情報の適切な管理に努めておりますが、表示される法規制情報は最新でない可能性があります。
また法規制情報の表示が無いものは、必ずしも法規制に非該当であることを示すものではありません。
商品のお届け前に最新の製品法規制情報をお求めの際はこちらへお問い合わせください。
|
※当社取り扱いの試薬・機器製品および受託サービス・創薬支援サービス(納品物、解析データ等)は、研究用としてのみ販売しております。
人や動物の医療用・臨床診断用・食品用としては、使用しないように、十分ご注意ください。
法規制欄に体外診断用医薬品と記載のものは除きます。
|
|
※リンク先での文献等のダウンロードに際しましては、掲載元の規約遵守をお願いします。
|
|
※CAS Registry Numbers have not been verified by CAS and may be inaccurate.
|