|
※サムネイル画像をクリックすると拡大画像が表示されます。
Tissue lysates of mouse brain(30ug) were resolved by SDS-PAGE, transferred to NC membrane and probed with anti-human APP (1:1000). Proteins were visualized using a goat anti-mouse secondary antibody conjugated to HRP and an ECL detection system.
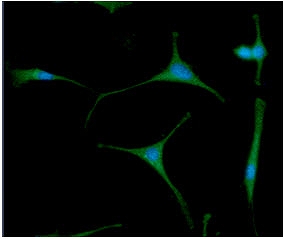
ICC/IF analysis of APP in U87MG cells line, stained with DAPI (Blue) for nucleus staining and monoclonal anti-human APP antibody (1:100) with goat anti-mouse IgG-Alexa fluor 488 conjugate (Green).
|
|
|
Tissue lysates of mouse brain(30ug) were resolved by SDS-PAGE, transferred to NC membrane and probed with anti-human APP (1:1000). Proteins were visualized using a goat anti-mouse secondary antibody conjugated to HRP and an ECL detection system.
|
|
| 別品名 |
amyloid beta A4 protein precursor, isoform, amyloid beta (A4) precursor protein, Alzheimer disease, peptidase nexin-II
|
| 種由来 |
Human
|
| 交差種 |
Human
|
| 適用 |
Western Blot Enzyme Linked Immunosorbent Assay Immuno Fluorescence Immunocytochemistry (cell) Flow Cytometry
|
| 免疫動物 |
Mouse
|
| クローン |
J4H9
|
| 抗体クラス |
IgG2bκ
|
| 抗原部位 |
a.a.18-289
|
| 標識物 |
Unlabeled
|
| 精製度 |
Ig fraction - Protein G
|
| Accession No.(Gene/Protein) |
NP_000475, P05067
|
| 概要 |
Amyloid precursor protein (APP) is the precursor molecule whose proteolysis generates amyloid beta (AB), a 39- to 42- amino acid peptide and this amyloid fibrillar form is the primary component of amyloid plaques found in the brains of Alzheimer's diseases patients. APP is an integral membrane protein that is phosphorylated in the cytoplasmic and extracellular domains. It has been reported that cell-surface APP plays a role in neurite extension of primary cultured hippocampal neurons. The large extracellular domain of APP is also reported to bind extracellular matrix molecules such as heparin, laminin, and collagen, which can mediate cell adhesion and neurite outgrowth. Abnormal regulation of the metabolism of APP may contribute to the deposition of plaques.
|
| 参考文献 |
Suzuki, T. et al., (1994) EMBO J. 13, 1114-1122 Ando, K. et al. (1999) J. Neurosci. 19, 4421-4427.
|
|
| メーカー |
品番 |
包装 |
|
ATG
|
AAP0836
|
100 UL [1mg/ml]
|
※表示価格について
| 当社在庫 |
なし
|
| 納期目安 |
1週間程度
|
| 保存温度 |
-70℃
|
|
※当社では商品情報の適切な管理に努めておりますが、表示される法規制情報は最新でない可能性があります。
また法規制情報の表示が無いものは、必ずしも法規制に非該当であることを示すものではありません。
商品のお届け前に最新の製品法規制情報をお求めの際はこちらへお問い合わせください。
|
※当社取り扱いの試薬・機器製品および受託サービス・創薬支援サービス(納品物、解析データ等)は、研究用としてのみ販売しております。
人や動物の医療用・臨床診断用・食品用としては、使用しないように、十分ご注意ください。
法規制欄に体外診断用医薬品と記載のものは除きます。
|
|
※リンク先での文献等のダウンロードに際しましては、掲載元の規約遵守をお願いします。
|
|
※CAS Registry Numbers have not been verified by CAS and may be inaccurate.
|