|
※サムネイル画像をクリックすると拡大画像が表示されます。
Human appendix tissue was stained with Anti-Neurofilament (ABT208) Antibody
Human appendix tissue was stained with Anti-Neurofilament (ABT208) Antibody
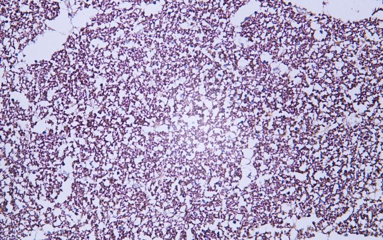
Human cerebrum tissue was stained with Anti-Neurofilament (ABT208) Antibody
Human cerebrum tissue was stained with Anti-Neurofilament (ABT208) Antibody
Human hippocampus tissue was stained with Anti-Neurofilament (ABT208) Antibody
Human hippocampus tissue was stained with Anti-Neurofilament (ABT208) Antibody
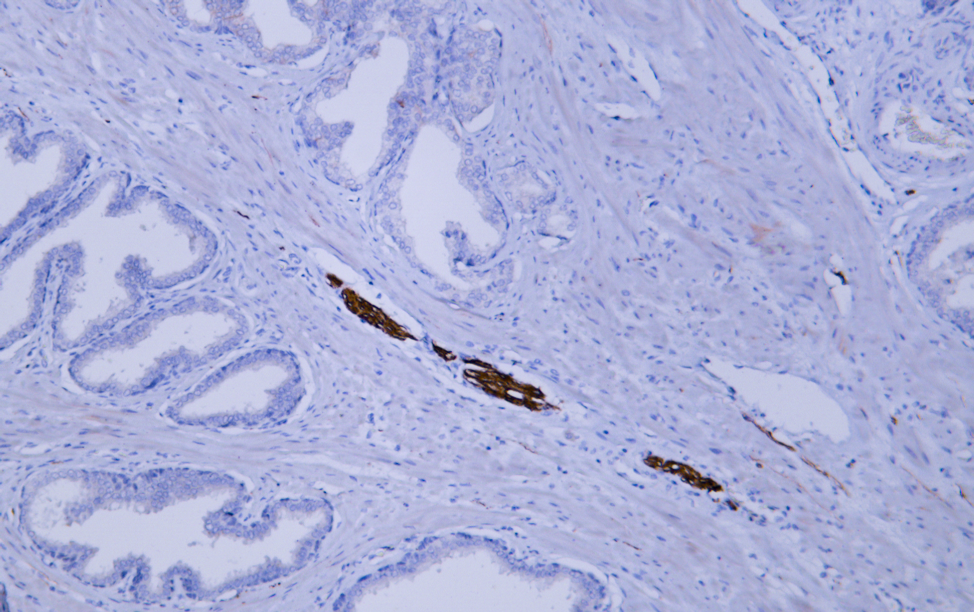
Human prostatic adenocarcinoma tissue was stained with Anti-Neurofilament (ABT208) Antibody
Human prostatic adenocarcinoma tissue was stained with Anti-Neurofilament (ABT208) Antibody
Whole cell lysates were separated by 10% SDS-PAGE, and the membrane was blotted with anti-Neurofilament (ABT208)antibody. The HRP-conjugated Goat anti-Mouse IgG(H + L) antibody was used to detect the antibody.Lane 1: H69ARPredicted band size: 68kDaObserved band size: 68kDa
|
|
|
Human appendix tissue was stained with Anti-Neurofilament (ABT208) Antibody
|
|
| 別品名 |
150 kDa medium, 160 kDa neurofilament protein, 2 kDa neurofilament protein, 200 kDa neurofilament protein, 68 kDa neurofilament protein, AI847934, CMT1F, CMT2CC, CMT2E, FLJ53642, KIAA0845, light molecular weight neurofilament protein, Micro glutamic acid-rich protein, mKIAA0845, Nef3, NEFH, NEFL, NEFM, Neurofilament 3, Neurofilament heavy polypeptide 200 kDa, Neurofilament heavy polypeptide, Neurofilament light polypeptide 68 kDa, Neurofilament light polypeptide, Neurofilament medium polypeptide 150 kDa, Neurofilament medium polypeptide, Neurofilament protein heavy polypeptide, Neurofilament protein light chain, Neurofilament protein light polypeptide, Neurofilament protein medium polypeptide, neurofilament subunit NF-L, Neurofilament triplet H protein, Neurofilament triplet L protein, Neurofilament triplet M protein, neurofilament-3 (150 kD medium), NF-H, NF-L, NF-M, NF160, NF165, NF200, NF68, NFH, NFL, NFM, NFM_HUMAN, PPP1R110, protein phosphatase 1, regulatory subunit 110
|
| 種由来 |
Human
|
| 交差種 |
Human
|
| 適用 |
Immunohistochemistry
|
| 免疫動物 |
Mouse
|
| クローン |
ABT208
|
| Accession No.(Gene/Protein) |
NEFL
|
|
| メーカー |
品番 |
包装 |
|
ASY
|
V0411
|
0.2 ML
|
※表示価格について
| 当社在庫 |
なし
|
| 納期目安 |
2週間程度
|
| 保存温度 |
-20℃
|
|
※当社では商品情報の適切な管理に努めておりますが、表示される法規制情報は最新でない可能性があります。
また法規制情報の表示が無いものは、必ずしも法規制に非該当であることを示すものではありません。
商品のお届け前に最新の製品法規制情報をお求めの際はこちらへお問い合わせください。
|
※当社取り扱いの試薬・機器製品および受託サービス・創薬支援サービス(納品物、解析データ等)は、研究用としてのみ販売しております。
人や動物の医療用・臨床診断用・食品用としては、使用しないように、十分ご注意ください。
法規制欄に体外診断用医薬品と記載のものは除きます。
|
|
※リンク先での文献等のダウンロードに際しましては、掲載元の規約遵守をお願いします。
|