ページの本文へ移動

Anti PRKACA, Trial Size: 20 UL  

※サムネイル画像をクリックすると拡大画像が表示されます。


別品名 4G10D7, cAMP-dependent protein kinase catalytic subunit alpha, EC:2.7.11.11, PKA C alpha, PKA C-alpha
別包装 あり
種由来 Human
交差種 Human
Mouse
Rat
Porcine
適用 Western Blot
IHC paraffin embedding section
Enzyme Linked Immunosorbent Assay
免疫動物 Mouse
クローン 4G10D7
抗体クラス IgG2a
標識物 Unlabeled
精製度 Ig fraction - Protein A
GENE ID 5566
Accession No.(Gene/Protein) BC039846
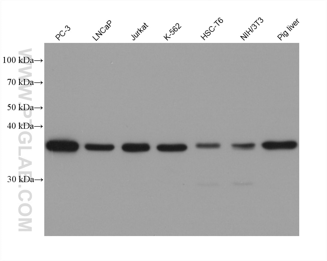
概要 The PRKACA antibody from Proteintech is a mouse monoclonal antibody to a recombinant protein of human PRKACA. This antibody recognizes human, mouse, rat antigen. The PRKACA antibody has been validated for the following applications: WB, IHC, ELISA analysis.
その他 [Buffer]PBS with 0.02% sodium azide and 50% glycerol pH 7.3.
[特長]siRNAで検証済
メーカー 品番 包装
PGI 67491-1-IG 20 UL
希望販売価格 ¥23,000

※表示価格について

当社在庫 なし
納期目安 1週間程度
保存温度 -20℃

 

商品のお問い合わせはこちら

 

メーカー情報
メーカー名 Proteintech Group, Inc.
略号 PGI
※当社では商品情報の適切な管理に努めておりますが、表示される法規制情報は最新でない可能性があります。
 また法規制情報の表示が無いものは、必ずしも法規制に非該当であることを示すものではありません。
 商品のお届け前に最新の製品法規制情報をお求めの際はこちらへお問い合わせください。  
※当社取り扱いの試薬・機器製品および受託サービス・創薬支援サービス(納品物、解析データ等)は、研究用としてのみ販売しております。
 人や動物の医療用・臨床診断用・食品用としては、使用しないように、十分ご注意ください。
 法規制欄に体外診断用医薬品と記載のものは除きます。
※リンク先での文献等のダウンロードに際しましては、掲載元の規約遵守をお願いします。
※CAS Registry Numbers have not been verified by CAS and may be inaccurate.
ページTOPへ

© COSMO BIO