|
※サムネイル画像をクリックすると拡大画像が表示されます。
Immunoprecipitation and western blot show interaction of otoferlin with CaMKIIδ.?(A?C)?Two HA-tagged mouse otoferlin fragments, C2ABC (aa 1?632 in?NP_001093865; 70 kDa) and C2DEF (aa 933?1920; 114 kDa) were co-transfected with mcherry-tagged mouse CaMKIIδ into HEK293 cells. Transfections were performed either with otoferlin C2ABC and CaMKIIδ (A, Input Lane 1 and 2), otoferlin C2DEF and CaMKIIδ (B, Input Lane 1 and 2) or in the presence of both C2ABC and C2DEF fragments and CaMKIIδ (C, Input Lane 1 and 2). Co-immunoprecipitations of C2ABC-HA and C2DEF-HA were conducted from HEK293 cell lysates using anti-HA antibodies (p/n 600-401-384). CaMKIIδ-mcherry was detected in the eluate using an anti-RFP (red fluorescent protein) antibody (p/n 200-301-379) (A?C, Lane 3), indicating that CaMKIIδ co-precipitated with recombinant otoferlin fragments. Secondary anti-rabbit Dylight680 (p/n 611-144-003) and anti-mouse Dylight800 antibodies (610-145-003) (1:10,000). FIGURE 5. PMID: 29046633.
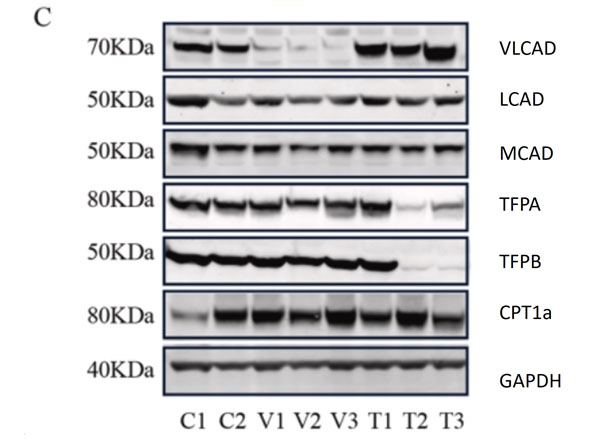
C.?Representative western blots, original blots are shown in?(supplementary Fig S8-9). And densitometric quantification of relative protein levels from western blots. Data are depicted as mean?±?SD, n?=?3, **P?<?0.01, ***P?<?0.001 and ****P?<?0.0001 by one-way ANOVA. Intracellular transport, activation, mitochondrial transport, β-oxidation, carnitine shuttle, and auxiliary proteins. The primary antibodies used as follows: VLCAD 1:1000, MCAD 1:1000, LCAD 1:1000, TFPa 1:500, TFPb 1:3000, CPT1α 1:1000, and GAPDH 1:30,000 dilutions overnight at 4?°C. The membranes were then incubated with fluorescent conjugated secondary antibodies for 1?h; DyLight 800 conjugated goat Anti-Rabbit IgG (611-145-002), DyLight 680 conjugated goat Anti-Rabbit IgG (611-144-003), DyLight 800 conjugated goat Anti-Mouse IgG (610-145-002), and DyLight 680 conjugated donkey Anti-Mouse IgG (610-744-124). Fig 1. PMID: 33725513.
Assessment of mitochondrial fusion and fission.B.?Representative western blots (original blots are shown in?supplementary Fig. S10) and quantification of MFN1/2 and DRP1. No significant changes in the relative levels of proteins that facilitate mitochondrial fusion (MFN1/2) and fission (DRP1) between non-disease (control) and mutant primary fibroblasts. Data are depicted as mean?±?SD, n?=?3. The primary antibodies used as follows: MFN1 1:400, MFN2 ( 1:400, DRP1 1:100 and GAPDH 1:30,000 dilutions overnight at 4?°C. The membranes were then incubated with fluorescent conjugated secondary antibodies for 1?h; DyLight 800 conjugated goat Anti-Rabbit IgG (611-145-002), Antibody DyLight 680 conjugated Anti-Rabbit IgG made in goat (611-144-003), DyLight 800 conjugated goat Anti-Mouse IgG (610-145-002), and DyLight 680 conjugated donkey Anti-Mouse IgG (610-744-124). Fig 3. PMID: 33725513.
Properties of DyLight? Conjugates.
DyLight? dyes can be used for two-color Western Blot detection with low background and high signal.? Anti-tubulin was detected using a DyLight? 680 conjugate.? Anti-TNFa was detected using a DyLight? 800 conjugate. The image was captured using the OdysseyR Infrared Imaging System developed by LI-COR.
|
|
|
Immunoprecipitation and western blot show interaction of otoferlin with CaMKIIδ.?(A?C)?Two HA-tagged mouse otoferlin fragments, C2ABC (aa 1?632 in?NP_001093865; 70 kDa) and C2DEF (aa 933?1920; 114 kDa) were co-transfected with mcherry-tagged mouse CaMKIIδ into HEK293 cells. Transfections were performed either with otoferlin C2ABC and CaMKIIδ (A, Input Lane 1 and 2), otoferlin C2DEF and CaMKIIδ (B, Input Lane 1 and 2) or in the presence of both C2ABC and C2DEF fragments and CaMKIIδ (C, Input Lane 1 and 2). Co-immunoprecipitations of C2ABC-HA and C2DEF-HA were conducted from HEK293 cell lysates using anti-HA antibodies (p/n 600-401-384). CaMKIIδ-mcherry was detected in the eluate using an anti-RFP (red fluorescent protein) antibody (p/n 200-301-379) (A?C, Lane 3), indicating that CaMKIIδ co-precipitated with recombinant otoferlin fragments. Secondary anti-rabbit Dylight680 (p/n 611-144-003) and anti-mouse Dylight800 antibodies (610-145-003) (1:10,000). FIGURE 5. PMID: 29046633.
|
|
| 別品名 |
Goat Anti Rabbit IgG F(c) DyLight 680TM Conjugated Antibody, Goat Anti-Rabbit IgG Fc Fragment Antibody DyLight 680TM conjugation, Goat Anti Rabbit IgG Fc Antibody DyLight 680TM conjugated
|
| 交差種 |
Rabbit
|
| 免疫動物 |
Goat
|
| 標識物 |
DyLightTM 680
|
| 精製度 |
Affinity Purified
|
| 参考文献 |
[Pub Med ID]29046633
|
| [注意事項] |
濃度はロットによって異なる可能性があります。メーカーDS及びCoAからご確認ください。
|
|
| メーカー |
品番 |
包装 |
|
RKL
|
611-144-003
|
100 UG
|
※表示価格について
| 当社在庫 |
なし
|
| 納期目安 |
約10日
|
| 法規制 |
毒
|
| 保存温度 |
4℃
|
|
※当社では商品情報の適切な管理に努めておりますが、表示される法規制情報は最新でない可能性があります。
また法規制情報の表示が無いものは、必ずしも法規制に非該当であることを示すものではありません。
商品のお届け前に最新の製品法規制情報をお求めの際はこちらへお問い合わせください。
|
※当社取り扱いの試薬・機器製品および受託サービス・創薬支援サービス(納品物、解析データ等)は、研究用としてのみ販売しております。
人や動物の医療用・臨床診断用・食品用としては、使用しないように、十分ご注意ください。
法規制欄に体外診断用医薬品と記載のものは除きます。
|
|
※リンク先での文献等のダウンロードに際しましては、掲載元の規約遵守をお願いします。
|
|
※CAS Registry Numbers have not been verified by CAS and may be inaccurate.
|