|
※サムネイル画像をクリックすると拡大画像が表示されます。
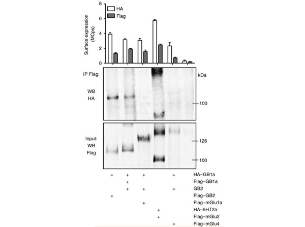
No cell-surface co-immunoprecipitation between mGlu1a and GABAB?in HEK293 cells. Upper panel: Cell-surface expression of the tagged receptors, determined by an ELISA assay. Lower panel: Cell-surface co-immunoprecipitation of the Flag-tagged receptors and western Blot carried out using anti-HA and anti-Flag antibodies from cells transfected with indicated plasmids. Data are representative of several experiments. The primary rabbit anti-HA antibody was used at 0.6 mg/l and the mouse anti-Flag antibody at 2 mg/l. The secondary antibodies conjugated to the DyLight 488 fluorophore (p/n 610-141-003 and 611-141-003). Fig 5. PMID: 19590495.
DyLight? dyes can be used for multi-color immunofluorescence microscopy with uniform fluorescence intensity throughout the image.? DyLight? dyes are exceptionally bright and photostable and are optimized for microscopy and microarray detection methods.? This image shows anti-histone detection using a DyLight? 488 conjugate (green).? Anti-tubulin was detected using a DyLight? 549 conjugate (red). ?Nuclei were counter-stained using DAPI (blue).? The image was captured using an Axio Imager.Z1 (Zeiss Micro Imaging Inc).
Properties of DyLight? Fluorescent Dyes.
|
|
|
No cell-surface co-immunoprecipitation between mGlu1a and GABAB?in HEK293 cells. Upper panel: Cell-surface expression of the tagged receptors, determined by an ELISA assay. Lower panel: Cell-surface co-immunoprecipitation of the Flag-tagged receptors and western Blot carried out using anti-HA and anti-Flag antibodies from cells transfected with indicated plasmids. Data are representative of several experiments. The primary rabbit anti-HA antibody was used at 0.6 mg/l and the mouse anti-Flag antibody at 2 mg/l. The secondary antibodies conjugated to the DyLight 488 fluorophore (p/n 610-141-003 and 611-141-003). Fig 5. PMID: 19590495.
|
|
| 別品名 |
Goat Anti Rabbit IgG F(c) DyLight 488TM Conjugated Antibody, Goat Anti-Rabbit IgG Fc Fragment Antibody DyLight 488TM conjugation, Goat Anti Rabbit IgG Fc Antibody DyLight 488TM conjugated
|
| 交差種 |
Rabbit
|
| 免疫動物 |
Goat
|
| 標識物 |
DyLightTM 488
|
| 精製度 |
Affinity Purified
|
| 参考文献 |
[Pub Med ID]19590495
|
| [注意事項] |
濃度はロットによって異なる可能性があります。メーカーDS及びCoAからご確認ください。
|
|
| メーカー |
品番 |
包装 |
|
RKL
|
611-141-003
|
100 UG
|
※表示価格について
| 当社在庫 |
なし
|
| 納期目安 |
約10日
|
| 法規制 |
毒
|
| 保存温度 |
4℃
|
|
※当社では商品情報の適切な管理に努めておりますが、表示される法規制情報は最新でない可能性があります。
また法規制情報の表示が無いものは、必ずしも法規制に非該当であることを示すものではありません。
商品のお届け前に最新の製品法規制情報をお求めの際はこちらへお問い合わせください。
|
※当社取り扱いの試薬・機器製品および受託サービス・創薬支援サービス(納品物、解析データ等)は、研究用としてのみ販売しております。
人や動物の医療用・臨床診断用・食品用としては、使用しないように、十分ご注意ください。
法規制欄に体外診断用医薬品と記載のものは除きます。
|
|
※リンク先での文献等のダウンロードに際しましては、掲載元の規約遵守をお願いします。
|
|
※CAS Registry Numbers have not been verified by CAS and may be inaccurate.
|