|
※サムネイル画像をクリックすると拡大画像が表示されます。
EMSA results using Anti-NFKB p52. Comparison of nuclear factor (NF)-κB binding activity among CD30-positive lymphomas with or without stimulation of CD30. (a) Whole-cell lysates of CD30-positive lymphoma cell lines with or without stimulation of CD30 were incubated with the?32P-labeled HIV κB probe, and κB binding was analyzed by electrophoretic mobility shift assay (EMSA). (b) Supershift assay of CD30-stimulated Karpas 299 and SR-786 using the antibodies indicated. Addition of anti-Bcl-3 antibodies produced no apparent supershifted bands (data not shown). The specificity of κB binding was determined by competition with an excess amount of unlabeled HIV κB probe or control unlabeled AP1 probe (5′-CGCTTGATGAGTCAGCCGGAA-3′). (c) NF-κB DNA-binding activities of p52-containing components were compared among CD30-positive lymphoma cell lines upon stimulation of CD30. The whole-cell lysates were incubated with the?32P-labeled H2 κB probe, and the binding was analyzed by EMSA. (d) Supershift assay of CD30-stimulated Karpas 299, KM-H2 and KIS-1. The cell lysates were first incubated with antibodies against p50, p52, p65, RelB and c-Rel, and the components of the NF-κB-binding complexes in each cell line were determined. The specificity of κB binding was determined by competition with an excess amount of unlabeled H2 κB probe or control unlabeled AP1 probe. Fig 5. PMID: 16108830.
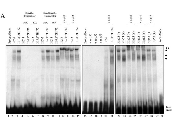
H1299 cells expressing mutant p53-R175H show increased binding to the NF-κB site. (A) Nuclear extracts of HC-5 and H-R175H were incubated as described in Materials and Methods with a?32P-labeled probe containing the sequence of the NF-κB DNA-binding site. Competition studies were done using a specific competitor (lanes 4 to 7) and a nonspecific competitor (lanes 8 to 11) at both 20× (lanes 4, 5, 8, and 9) and 40× (lanes 6, 7, 10, and 11) molar excess. The single arrows indicate the DNA complexes containing NF-κB complexes. Increased NF-κB activity is observed in the presence of mutant p53 (lanes 2, 3, and 8 to 11). The double arrow indicates the supershifted complex in the presence of antibodies specific for NF-κB1 (p50), NF-κB2 (p52), and p53 (lanes 12 to 15, 20 to 21, and 24 to 29, respectively). Equal amounts of protein were added to each lane.?Fig. 7 PMID: 16260623.
|
|
|
EMSA results using Anti-NFKB p52. Comparison of nuclear factor (NF)-κB binding activity among CD30-positive lymphomas with or without stimulation of CD30. (a) Whole-cell lysates of CD30-positive lymphoma cell lines with or without stimulation of CD30 were incubated with the?32P-labeled HIV κB probe, and κB binding was analyzed by electrophoretic mobility shift assay (EMSA). (b) Supershift assay of CD30-stimulated Karpas 299 and SR-786 using the antibodies indicated. Addition of anti-Bcl-3 antibodies produced no apparent supershifted bands (data not shown). The specificity of κB binding was determined by competition with an excess amount of unlabeled HIV κB probe or control unlabeled AP1 probe (5′-CGCTTGATGAGTCAGCCGGAA-3′). (c) NF-κB DNA-binding activities of p52-containing components were compared among CD30-positive lymphoma cell lines upon stimulation of CD30. The whole-cell lysates were incubated with the?32P-labeled H2 κB probe, and the binding was analyzed by EMSA. (d) Supershift assay of CD30-stimulated Karpas 299, KM-H2 and KIS-1. The cell lysates were first incubated with antibodies against p50, p52, p65, RelB and c-Rel, and the components of the NF-κB-binding complexes in each cell line were determined. The specificity of κB binding was determined by competition with an excess amount of unlabeled H2 κB probe or control unlabeled AP1 probe. Fig 5. PMID: 16108830.
|
|
| 別品名 |
rabbit Anti-NFKB p52 antibody, Nuclear factor NF-kappa-B p100 subunit, DNA-binding factor KBF2, H2TF1, Lymphocyte translocation chromosome 10 protein, Nuclear factor of kappa light polypeptide gene enhancer in B-cells 2, Oncogene Lyt-10, Lyt10, Nuclear factor NF-kappa-B p52 subunit, NFKB2
|
| 交差種 |
Human
|
| 免疫動物 |
Rabbit
|
| 抗原部位 |
a.a.1-19
|
| 標識物 |
Unlabeled
|
| 精製度 |
Serum
|
| GENE ID |
4791
|
| Accession No.(Gene/Protein) |
NP_001070962.1, Q00653
|
| Gene Symbol |
NFKB2
|
| 参考文献 |
[Pub Med ID]9583684
|
| [注意事項] |
濃度はロットによって異なる可能性があります。メーカーDS及びCoAからご確認ください。
|
|
| メーカー |
品番 |
包装 |
|
RKL
|
100-4185
|
100 UL
|
※表示価格について
| 当社在庫 |
なし
|
| 納期目安 |
約10日
|
| 保存温度 |
-20℃
|
|
※当社では商品情報の適切な管理に努めておりますが、表示される法規制情報は最新でない可能性があります。
また法規制情報の表示が無いものは、必ずしも法規制に非該当であることを示すものではありません。
商品のお届け前に最新の製品法規制情報をお求めの際はこちらへお問い合わせください。
|
※当社取り扱いの試薬・機器製品および受託サービス・創薬支援サービス(納品物、解析データ等)は、研究用としてのみ販売しております。
人や動物の医療用・臨床診断用・食品用としては、使用しないように、十分ご注意ください。
法規制欄に体外診断用医薬品と記載のものは除きます。
|
|
※リンク先での文献等のダウンロードに際しましては、掲載元の規約遵守をお願いします。
|
|
※CAS Registry Numbers have not been verified by CAS and may be inaccurate.
|