|
※サムネイル画像をクリックすると拡大画像が表示されます。
Western blot analysis of TIM-3 in overexpressing HEK293 cells TIM-3 antibody at (A) 0.25, (B) 0.5, and (C) 1 μg/ml
Immunocytochemistry of TIM-3 in transfected HEK293 cells with TIM-3 antibody at 1 μg/mL. Lower left: Immunocytochemistry in transfected HEK293 cells with control mouse IgG antibody at 1 μg/mL.
Immunofluorescence of TIM-3 in transfected HEK293 cells with TIM-3 antibody at 10 μg/mL.
Green: TIM-3 Antibody [2A6] (RF16106) Blue: DAPI staining
Immunofluorescence of TIM-3 in human colon carcinoma tissue with TIM-3 antibody at 20 μg/mL.
Green: TIM-3 Antibody [2A6] (RF16106) Blue: DAPI staining
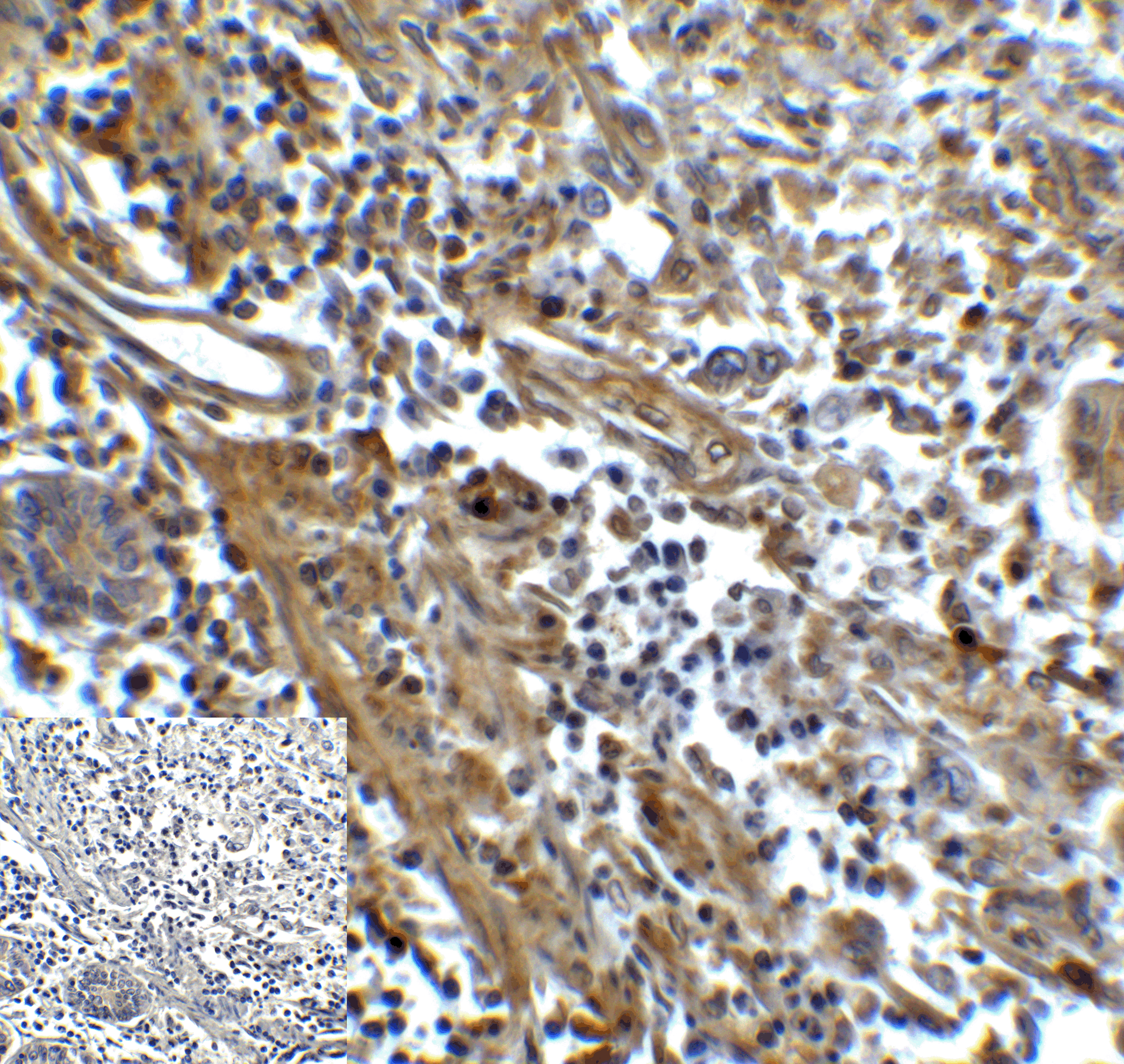
Immunohistochemistry of TIM-3 in human colon carcinoma tissue with TIM-3 antibody at 5 μg/mL.
Flow cytometry analysis of TIM-3 overexpressing HEK293 cells using TIM-3 antibody and control mouse IgG antibody at 0.1 μg/ml. Blue: Untransfected HEK293 cells. Yellow: TIM-3 overexpressing HEK293 cells.
|
|
|
Western blot analysis of TIM-3 in overexpressing HEK293 cells TIM-3 antibody at (A) 0.25, (B) 0.5, and (C) 1 μg/ml
|
|
| 別品名 |
TIM-3 Antibody: Hepatitis A virus cellular receptor, HAVCR2, TIM3, CD366, KIM-3, TIMD3, TIMD-3
|
| 交差種 |
Human
|
| 適用 |
Western Blot IHC paraffin embedding section Enzyme Linked Immunosorbent Assay Immuno Fluorescence Immunocytochemistry (cell) Flow Cytometry
|
| 免疫動物 |
Mouse
|
| クローン |
2A6
|
| 抗体クラス |
IgG1κ
|
| 抗原部位 |
extracellular domain
|
| 標識物 |
Unlabeled
|
| 精製度 |
Ig fraction - Protein A
|
| GENE ID |
84868
|
| Accession No.(Gene/Protein) |
NP_116171
|
| Gene Symbol |
HAVCR2
|
| その他 |
[Protein GI Number]84868 [Swiss-Prot No]Q8TDQ0
|
| 参考文献 |
Monney L, Sabatos CA, Gaglia JL, et al. Th1-specific cell surface protein Tim-3 regulates macrophage activation and severity of autoimmune disease. Nature 2002; 415:536-41. Sakuishi K, Apetoh L, Sullivan JM, et al. Targeting Tim-3 and PD-1 pathways to reverse T cell exhaustion and restore anti-tumor immunity. J Exp Med 2010; 207:2187-94. Zhou Q, Munger ME, Veenstra RG, et al. Coexpression of Tim-3 and PD-1 identifies a CD8+ T-cell exhaustion phenotype in mice with disseminated acute myelogenous leukemia. Blood 2011; 117:4501-10.
|
|
| メーカー |
品番 |
包装 |
|
PSC
|
RF16106
|
100 UG [1 mg/mL]
|
※表示価格について
| 当社在庫 |
なし
|
| 納期目安 |
3週間程度
|
| 保存温度 |
-20℃
|
|
※当社では商品情報の適切な管理に努めておりますが、表示される法規制情報は最新でない可能性があります。
また法規制情報の表示が無いものは、必ずしも法規制に非該当であることを示すものではありません。
商品のお届け前に最新の製品法規制情報をお求めの際はこちらへお問い合わせください。
|
※当社取り扱いの試薬・機器製品および受託サービス・創薬支援サービス(納品物、解析データ等)は、研究用としてのみ販売しております。
人や動物の医療用・臨床診断用・食品用としては、使用しないように、十分ご注意ください。
法規制欄に体外診断用医薬品と記載のものは除きます。
|
|
※リンク先での文献等のダウンロードに際しましては、掲載元の規約遵守をお願いします。
|
|
※CAS Registry Numbers have not been verified by CAS and may be inaccurate.
|