|
※サムネイル画像をクリックすると拡大画像が表示されます。
Western blot analysis of B7-H3 in HEK293 cells using B7-H3 antibody at (A) 0.25 (B) 0.5 and (C) 1 μg/ml.
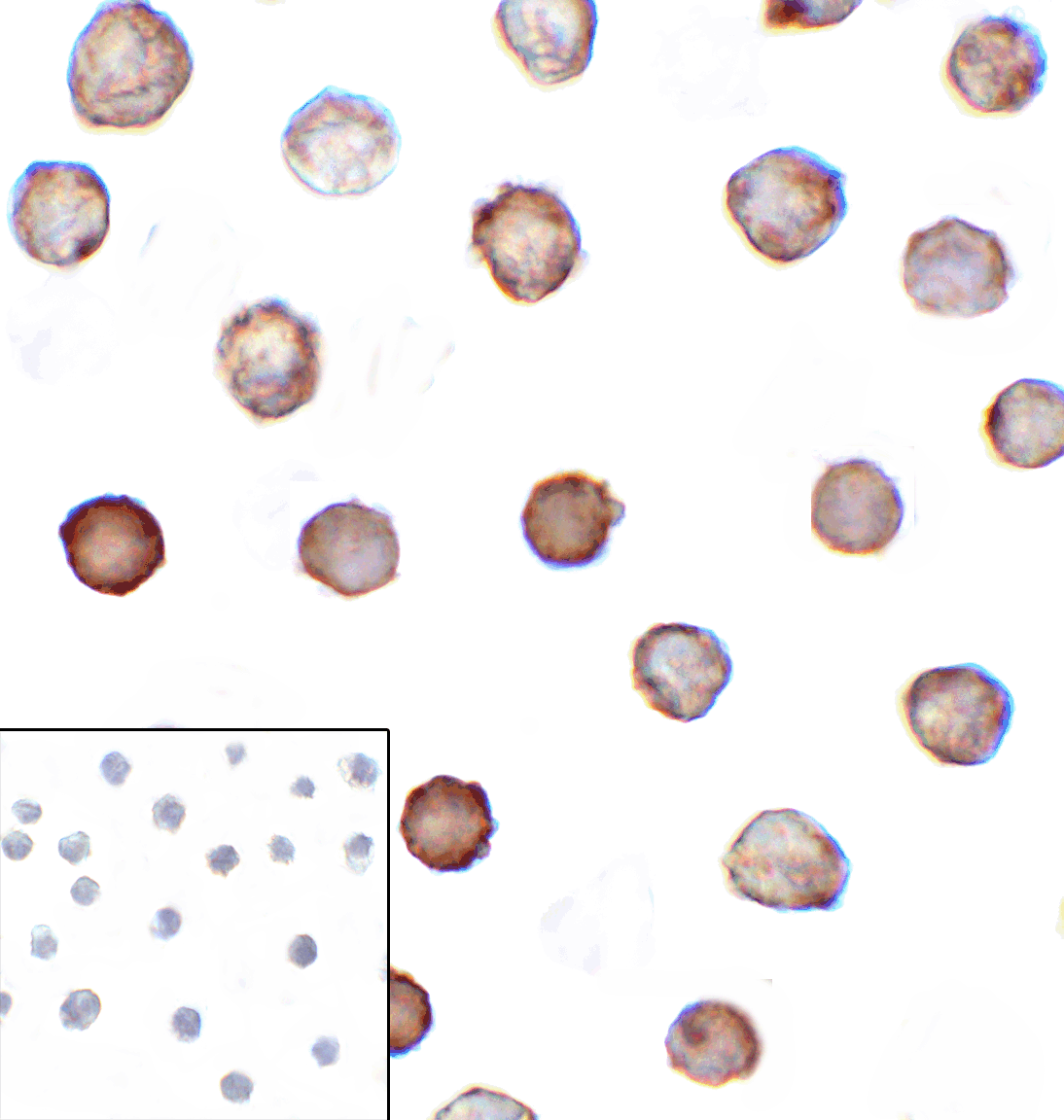
Immunocytochemistry of B7-H3 in HEK293 cells using B7-H3 antibody and control mouse IgG antibody (left corner box) at 1 μg/ml.
Immunofluorescence of B7-H3 in HEK293 cells using B7-H3 Antibody at 5 μg/ml.
Green: B7-H3 Antibody [4H3] (RF16093) Blue: DAPI staining
Immunofluorescence of B7-H3 in human colon carcinoma tissue cells using B7-H3 Antibody at 10 μg/ml.
Green: B7-H3 Antibody [4H3] (RF16093) Blue: DAPI staining
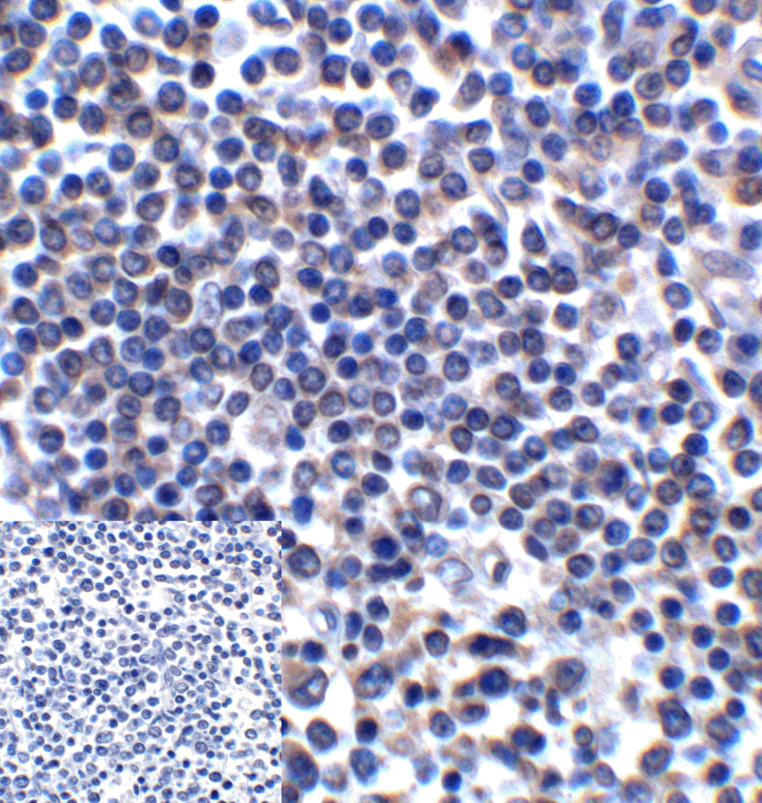
Immunohistochemistry of B7-H3 in human colon carcinoma tissue using B7-H3 Antibody and control mouse IgG (corner box) at 2 μg/ml.
Flow cytometry analysis of B7-H3 in HEK293 cells using B7-H3 antibody at 1 μg/ml. Blue: untransfected HEK293 cells. Yellow: B7-H3 over expressing HEK293 cells.
Titration curve analysis of B7-H3 mAbs to detect recombinant B7-H3 in ELISA with RF16091, RF16092, RF16093, RF16094, and RF16095 antibodies at decreasing concentrations.
|
|
|
Western blot analysis of B7-H3 in HEK293 cells using B7-H3 antibody at (A) 0.25 (B) 0.5 and (C) 1 μg/ml.
|
|
| 別品名 |
B7-H3 Antibody: CD276 molecule, B7H3, B7RP-2, 4Ig-B7-H3, CD276
|
| 交差種 |
Human
|
| 適用 |
Western Blot IHC paraffin embedding section Enzyme Linked Immunosorbent Assay Immuno Fluorescence Immunocytochemistry (cell) Flow Cytometry
|
| 免疫動物 |
Mouse
|
| クローン |
4H3
|
| 抗体クラス |
IgG1κ
|
| 抗原部位 |
extracellular domain
|
| 標識物 |
Unlabeled
|
| 精製度 |
Ig fraction - Protein A
|
| GENE ID |
80381
|
| Accession No.(Gene/Protein) |
NP_001019907
|
| Gene Symbol |
CD276
|
| その他 |
[Protein GI Number]67188443 [Swiss-Prot No]Q5ZPR3
|
| 参考文献 |
Chapoval AI, Ni J, Lau JS, et al. B7-H3: a costimulatory molecule for T cell activation and IFN-gamma production. Nat Immunol 2001; 2:269-74. Sun M, Richards S, Prasad DV, et al. Characterization of mouse and human B7-H3 genes. J Immunol 2002; 168:6294-7. Yi KH and Chen L. Fine tuning the immune response through B7-H3 and B7-H4. Immunol Rev 2009; 229:145-51. Wang L, Kang FB, and Shan BE. B7-H3-mediated tumor immunology: friend or foe?. Int J Cancer 2014; 134:2764-71.
|
|
| メーカー |
品番 |
包装 |
|
PSC
|
RF16093
|
100 UG [1 mg/mL]
|
※表示価格について
| 当社在庫 |
なし
|
| 納期目安 |
3週間程度
|
| 保存温度 |
-20℃
|
|
※当社では商品情報の適切な管理に努めておりますが、表示される法規制情報は最新でない可能性があります。
また法規制情報の表示が無いものは、必ずしも法規制に非該当であることを示すものではありません。
商品のお届け前に最新の製品法規制情報をお求めの際はこちらへお問い合わせください。
|
※当社取り扱いの試薬・機器製品および受託サービス・創薬支援サービス(納品物、解析データ等)は、研究用としてのみ販売しております。
人や動物の医療用・臨床診断用・食品用としては、使用しないように、十分ご注意ください。
法規制欄に体外診断用医薬品と記載のものは除きます。
|
|
※リンク先での文献等のダウンロードに際しましては、掲載元の規約遵守をお願いします。
|
|
※CAS Registry Numbers have not been verified by CAS and may be inaccurate.
|