|
※サムネイル画像をクリックすると拡大画像が表示されます。
Western blot analysis of LAG-3 in over expressing HEK293 cells using LAG-3 antibody at (A) 0.25 (B) 0.5 and (C) 1 μg/ml.
Immunocytochemistry of LAG-3 in over expressing HEK293 cells using LAG-3 antibody and control mouse IgG antibody (left corner box) at 1 μg/ml.
Immunofluorescence of LAG-3 in over expressing HEK293 cells using LAG-3 Antibody at 2 μg/ml.
Green: LAG3 Antibody [2G8] (RF16082) Blue: DAPI staining
Immunofluorescence of LAG-3 in over human spleen tissue using LAG-3 Antibody at 10 μg/ml.
Red: LAG3 Antibody [2G8] (RF16082) Blue: DAPI staining
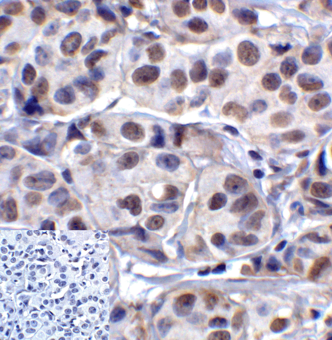
Immunohistochemistry of LAG-3 in human lymphoma tissue using LAG-3 Antibody and control mouse IgG (corner box) at 5 μg/ml.
Flow cytometry analysis of LAG-3 over expressing HEK293 cells using LAG-3 antibody at 1 μg/ml. Blue: untransfected HEK293 cells. Yellow: LAG-3 over expressing HEK293 cells.
Titration curve analysis of LAG-3 mAbs to detect recombinant LAG-3 in ELISA with RF16082, RF16083, RF16084, RF16086, RF16087, RF16088, and RF16089 antibodies at decreasing concentrations.
A sandwich ELISA was performed using the anti-LAG3 mAbs RF16082, RF16083, RF16084, RF16086, RF16087 and RF16088 as the capture antibodies for the LAG3 extracellular domain antigen with biotin-labeled Risk-Free anti-LAG3 mAbs as the detection antibodies.
|
|
|
Western blot analysis of LAG-3 in over expressing HEK293 cells using LAG-3 antibody at (A) 0.25 (B) 0.5 and (C) 1 μg/ml.
|
|
| 別品名 |
LAG3 Antibody: lymphocyte activating 3, LAG-3, CD223
|
| 交差種 |
Human
|
| 適用 |
Western Blot IHC paraffin embedding section Enzyme Linked Immunosorbent Assay Immuno Fluorescence Immunocytochemistry (cell) Flow Cytometry
|
| 免疫動物 |
Mouse
|
| クローン |
2G8
|
| 抗体クラス |
IgG1κ
|
| 抗原部位 |
extracellular domain
|
| 標識物 |
Unlabeled
|
| 精製度 |
Ig fraction - Protein A
|
| GENE ID |
3902
|
| Accession No.(Gene/Protein) |
NP_002277
|
| Gene Symbol |
LAG3
|
| その他 |
[Protein GI Number]167614500 [Swiss-Prot No]P18627
|
| 参考文献 |
Huard B, Tournier M, Hercend T, et al. Lymphocyte-activation gene 3/major histocompatibility complex class II interaction modulates the antigenic response of CD4+ T lymphocytes. Eur J Immunol 1994; 24:3216-21. Triebel F. LAG-3: a regulator of T-cell and DC responses and its use in therapeutic vaccination. Trends Immunol 2003; 24:619-22. Workman CJ, Wang Y, El Kasmi KC, et al. LAG-3 regulates plasmacytoid dendritic cell homeostasis. J Immunol. 2009; 182:1885-91. Workman CJ, Vignali DA. The CD4-related molecule, LAG-3 (CD223), regulates the expansion of activated T cells. Eur J Immunol 2003; 33:970-9.
|
|
| メーカー |
品番 |
包装 |
|
PSC
|
RF16082
|
100 UG [1 mg/mL]
|
※表示価格について
| 当社在庫 |
なし
|
| 納期目安 |
3週間程度
|
| 保存温度 |
-20℃
|
|
※当社では商品情報の適切な管理に努めておりますが、表示される法規制情報は最新でない可能性があります。
また法規制情報の表示が無いものは、必ずしも法規制に非該当であることを示すものではありません。
商品のお届け前に最新の製品法規制情報をお求めの際はこちらへお問い合わせください。
|
※当社取り扱いの試薬・機器製品および受託サービス・創薬支援サービス(納品物、解析データ等)は、研究用としてのみ販売しております。
人や動物の医療用・臨床診断用・食品用としては、使用しないように、十分ご注意ください。
法規制欄に体外診断用医薬品と記載のものは除きます。
|
|
※リンク先での文献等のダウンロードに際しましては、掲載元の規約遵守をお願いします。
|
|
※CAS Registry Numbers have not been verified by CAS and may be inaccurate.
|