ページの本文へ移動

Anti CXCL11  

※サムネイル画像をクリックすると拡大画像が表示されます。


別品名 CXCL-11, Interferon gamma-inducible protein 9, H174, CXCL 11, C-X-C motif chemokine 11
別包装 あり
種由来 Human
交差種 Human
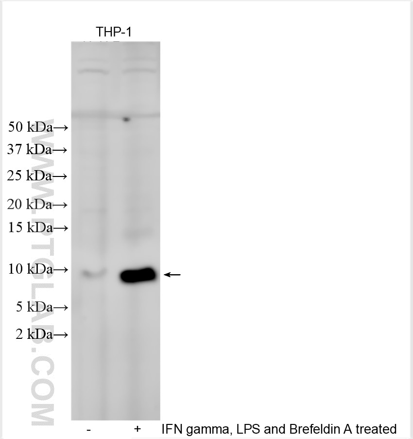
適用 Western Blot
IHC paraffin embedding section
Enzyme Linked Immunosorbent Assay
免疫動物 Rabbit
抗体クラス IgG
標識物 Unlabeled
精製度 Affinity Purified
GENE ID 6373
Accession No.(Gene/Protein) BC005292
概要 The CXCL11 antibody from Proteintech is a rabbit polyclonal antibody to a recombinant protein of human CXCL11. This antibody recognizes human antigen. The CXCL11 antibody has been validated for the following applications: WB, IHC, ELISA analysis.
その他 [Buffer]PBS with 0.02% sodium azide and 50% glycerol pH 7.3.
メーカー 品番 包装
PGI 10707-1-AP 150 UL
希望販売価格 ¥67,000

※表示価格について

当社在庫 あり
保存温度 -20℃

 

商品のお問い合わせはこちら

 

メーカー情報
メーカー名 Proteintech Group, Inc.
略号 PGI
※当社では商品情報の適切な管理に努めておりますが、表示される法規制情報は最新でない可能性があります。
 また法規制情報の表示が無いものは、必ずしも法規制に非該当であることを示すものではありません。
 商品のお届け前に最新の製品法規制情報をお求めの際はこちらへお問い合わせください。  
※当社取り扱いの試薬・機器製品および受託サービス・創薬支援サービス(納品物、解析データ等)は、研究用としてのみ販売しております。
 人や動物の医療用・臨床診断用・食品用としては、使用しないように、十分ご注意ください。
 法規制欄に体外診断用医薬品と記載のものは除きます。
※リンク先での文献等のダウンロードに際しましては、掲載元の規約遵守をお願いします。
※CAS Registry Numbers have not been verified by CAS and may be inaccurate.

関連商品

ページTOPへ

© COSMO BIO