|
※サムネイル画像をクリックすると拡大画像が表示されます。
Western blot analysis of VISTA in overexpressing HEK293 cells with VISTA antibody at (A) 0.25 (B) 0.5 and (C) 1 μg/ml
Immunocytochemistry of VISTA in transfected HEK293 cells with VISTA antibody at 1 μg/mL. Lower left: Immunocytochemistry in transfected HEK293 cells with control mouse IgG antibody at 1 μg/mL.
Immunofluorescence of VISTA in transfected HEK293 cells with VISTA antibody at 2 μg/mL.
Green: VISTA Antibody [4C4] (RF16071) Blue: DAPI staining
Immunofluorescence of VISTA in human lymphoma tissue with VISTA antibody at 5 μg/mL.
Red: VISTA Antibody [4C4] (RF16071) Blue: DAPI staining
Immunofluorescence of VISTA in human spleen tissue with VISTA antibody at 10 μg/mL.
Red: VISTA Antibody [4C4] (RF16071) Blue: DAPI staining
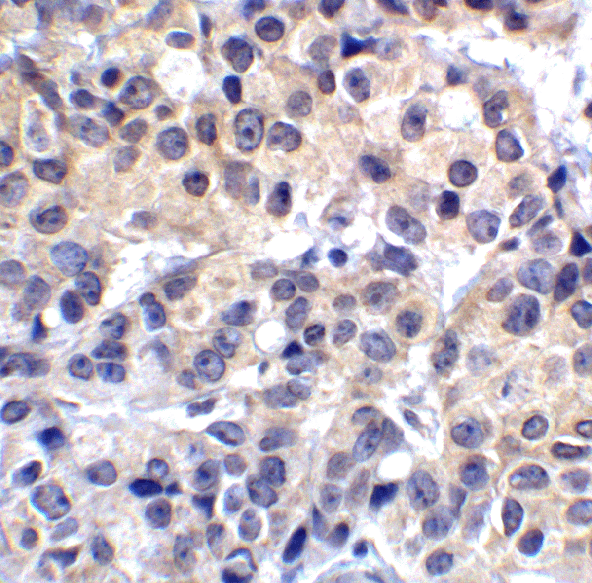
Immunohistochemistry of VISTA in human lymphoma tissue with VISTA antibody at 2 μg/mL.
Flow cytometry analysis of VISTA overexpressing HEK293 cells using VISTA antibody and control mouse IgG antibody at 10 μg/ml. Blue: Untransfected HEK293 cells. Yellow: VISTA overexpressing HEK293 cells.
Titration curve analysis of VISTA antibody to detect recombinant VISTA in ELISA at decreasing concentrations.
|
|
|
Western blot analysis of VISTA in overexpressing HEK293 cells with VISTA antibody at (A) 0.25 (B) 0.5 and (C) 1 μg/ml
|
|
| 別品名 |
VISTA Antibody: VISTA molecule, VSIR, B7-H5, B7H5, GI24, PP2135, SISP1, DD1alpha, VISTA, C10orf54, chromosome 10 open reading frame 54, PD-1H, V-set immunoregulatory receptor, V-Type Immunoglobulin Domain-Containing Suppressor Of T-Cell Activation, Chromosome 10 Open Reading Frame 54
|
| 交差種 |
Human
|
| 適用 |
Western Blot IHC paraffin embedding section Enzyme Linked Immunosorbent Assay Immuno Fluorescence Immunocytochemistry (cell) Flow Cytometry
|
| 免疫動物 |
Mouse
|
| クローン |
4C4
|
| 抗体クラス |
IgG1
|
| 抗原部位 |
Extracellular domain
|
| 標識物 |
Unlabeled
|
| 精製度 |
Ig fraction - Protein A
|
| GENE ID |
64115
|
| Accession No.(Gene/Protein) |
NP_071436
|
| Gene Symbol |
VSIR
|
| 推奨品 |
ポジティブコントロール 品番:1331 - Human Lymphoma Tissue Lysate ポジティブコントロール 品番:1306 - Human Spleen Tissue
|
| その他 |
[Protein GI Number]64115 [Swiss-Prot No]Q9H7M9
|
| 参考文献 |
Mayya V., et al . Quantitative phosphoproteomic analysis of T cell receptor signaling reveals system-wide modulation of protein-protein interactions. 2009, Sci. Signal. 2:RA46-RA46. Sakr M.A., et al.,GI24 enhances tumor invasiveness by regulating cell surface membrane-type 1 matrix metalloproteinase. 2010, Cancer Sci. 101:2368-2374.
|
|
| メーカー |
品番 |
包装 |
|
PSC
|
RF16071
|
0.1 MG [1 mg/mL]
|
※表示価格について
| 当社在庫 |
なし
|
| 納期目安 |
3週間程度
|
| 保存温度 |
-20℃
|
|
※当社では商品情報の適切な管理に努めておりますが、表示される法規制情報は最新でない可能性があります。
また法規制情報の表示が無いものは、必ずしも法規制に非該当であることを示すものではありません。
商品のお届け前に最新の製品法規制情報をお求めの際はこちらへお問い合わせください。
|
※当社取り扱いの試薬・機器製品および受託サービス・創薬支援サービス(納品物、解析データ等)は、研究用としてのみ販売しております。
人や動物の医療用・臨床診断用・食品用としては、使用しないように、十分ご注意ください。
法規制欄に体外診断用医薬品と記載のものは除きます。
|
|
※リンク先での文献等のダウンロードに際しましては、掲載元の規約遵守をお願いします。
|
|
※CAS Registry Numbers have not been verified by CAS and may be inaccurate.
|