|
※サムネイル画像をクリックすると拡大画像が表示されます。
Western blot analysis of LIGHT in overexpressing HEK293 cells with LIGHT antibody at 0.5 and 1 μg/ml
Immunocytochemistry of LIGHT in transfected HEK293 cells with LIGHT antibody at 1 μg/mL. Lower left: Immunocytochemistry in transfected HEK293 cells with control mouse IgG antibody at 1 μg/mL.
Immunofluorescence of LIGHT in transfected HEK293 cells with LIGHT antibody at 2 μg/mL.
Green: LIGHT Antibody [7B9E12] (RF16063) Blue: DAPI staining
Immunofluorescence of LIGHT in human lymphoma tissue with LIGHT antibody at 20 μg/mL.
Green: LIGHT Antibody [7B9E12] (RF16063) Blue: DAPI staining
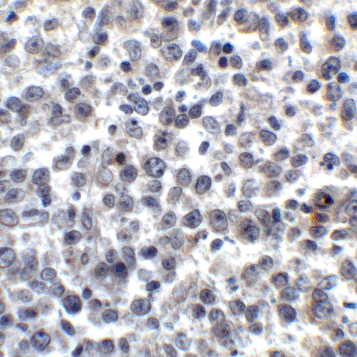
Immunohistochemistry of LIGHT in human lymphoma tissue with LIGHT antibody at 5 μg/mL.
Flow cytometry analysis of LIGHT overexpressing HEK293 cells using LIGHT antibody and control mouse IgG antibody at 10 μg/ml. Blue: Untransfected HEK293 cells. Yellow: LIGHT overexpressing HEK293 cells.
|
|
|
Western blot analysis of LIGHT in overexpressing HEK293 cells with LIGHT antibody at 0.5 and 1 μg/ml
|
|
| 別品名 |
LIGHT Antibody: TNFSF14, LTg, CD258, HVEML, HVEM ligand
|
| 交差種 |
Human
|
| 適用 |
Western Blot IHC paraffin embedding section Enzyme Linked Immunosorbent Assay Immuno Fluorescence Immunocytochemistry (cell) Flow Cytometry
|
| 免疫動物 |
Mouse
|
| クローン |
7B9E12
|
| 抗体クラス |
IgG2b
|
| 抗原部位 |
Extracellular domain
|
| 標識物 |
Unlabeled
|
| 精製度 |
Ig fraction - Protein A
|
| GENE ID |
8740
|
| Accession No.(Gene/Protein) |
NP_003798
|
| Gene Symbol |
TNFSF14
|
| 推奨品 |
ポジティブコントロール 品番:1331 - Human Lymphoma Tissue Lysate
|
| その他 |
[Protein GI Number]25952144 [Swiss-Prot No]O43557
|
| 参考文献 |
Wang Y, Zhu M, Miller M, et al. Immunoregulation by tumor necrosis factor superfamily member LIGHT. Immunological Reviews 2009; 229:232-43. Lee Y, Chin RK, Christiansen P, et al. Recruitment and activation of naive T cells in the islets by lymphotoxin beta receptor-dependent tertiary lymphoid structure. Immunity 2006; 25:499-509. Tang H, Wang Y, Chlewicki LK, et al. Facilitating T cell infiltration in tumor microenvironment overcomes resistance to PD-L1 blockade. Cancer Cell 2016; 29:285-296.
|
|
| メーカー |
品番 |
包装 |
|
PSC
|
RF16063
|
0.1 MG [1 mg/mL]
|
※表示価格について
| 当社在庫 |
なし
|
| 納期目安 |
3週間程度
|
| 保存温度 |
-20℃
|
|
※当社では商品情報の適切な管理に努めておりますが、表示される法規制情報は最新でない可能性があります。
また法規制情報の表示が無いものは、必ずしも法規制に非該当であることを示すものではありません。
商品のお届け前に最新の製品法規制情報をお求めの際はこちらへお問い合わせください。
|
※当社取り扱いの試薬・機器製品および受託サービス・創薬支援サービス(納品物、解析データ等)は、研究用としてのみ販売しております。
人や動物の医療用・臨床診断用・食品用としては、使用しないように、十分ご注意ください。
法規制欄に体外診断用医薬品と記載のものは除きます。
|
|
※リンク先での文献等のダウンロードに際しましては、掲載元の規約遵守をお願いします。
|
|
※CAS Registry Numbers have not been verified by CAS and may be inaccurate.
|