|
※サムネイル画像をクリックすると拡大画像が表示されます。
Figure 1. Western blot analysis of SOX9 using anti-SOX9 antibody (M00177). Electrophoresis was performed on a 5-20% SDS-PAGE gel at 70V (Stacking gel) / 90V (Resolving gel) for 2-3 hours. The sample well of each lane was loaded with 30 ug of sample under reducing conditions. Lane 1: human Hela whole cell lysates, Lane 2: human CACO-2 whole cell lysates, Lane 3: human SW620 whole cell lysates, Lane 4: rat PC-12 whole cell lysates, Lane 5: mouse brain tissue lysates. After electrophoresis, proteins were transferred to a nitrocellulose membrane at 150 mA for 50-90 minutes. Blocked the membrane with 5% non-fat milk/TBS for 1.5 hour at RT. The membrane was incubated with rabbit anti-SOX9 antigen affinity purified monoclonal antibody (Catalog # M00177) at 1:500 overnight at 4°C, then washed with TBS-0.1%Tween 3 times with 5 minutes each and probed with a goat anti-rabbit IgG-HRP secondary antibody at a dilution of 1:1000 for 1.5 hour at RT. The signal is developed using an Enhanced Chemiluminescent detection (ECL) kit (Catalog # EK1002) with Tanon 5200 system. A specific band was detected for SOX9 at approximately 70 kDa. The expected band size for SOX9 is at 56 kDa.
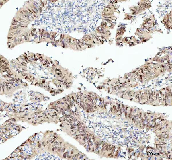
Figure 2. IHC analysis of SOX9 using anti-SOX9 antibody (M00177). SOX9 was detected in a paraffin-embedded section of human colorectal adenocarcinoma tissue. Heat mediated antigen retrieval was performed in EDTA buffer (pH 8.0, epitope retrieval solution). The tissue section was blocked with 10% goat serum. The tissue section was then incubated with 1:50 rabbit anti-SOX9 Antibody (M00177) overnight at 4°C. Peroxidase Conjugated Goat Anti-rabbit IgG was used as secondary antibody and incubated for 30 minutes at 37°C. The tissue section was developed using HRP Conjugated Rabbit IgG Super Vision Assay Kit (Catalog # SV0002) with DAB as the chromogen.
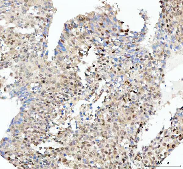
Figure 3. IHC analysis of SOX9 using anti-SOX9 antibody (M00177). SOX9 was detected in a paraffin-embedded section of human liver cancer tissue. Heat mediated antigen retrieval was performed in EDTA buffer (pH 8.0, epitope retrieval solution). The tissue section was blocked with 10% goat serum. The tissue section was then incubated with 1:50 rabbit anti-SOX9 Antibody (M00177) overnight at 4°C. Peroxidase Conjugated Goat Anti-rabbit IgG was used as secondary antibody and incubated for 30 minutes at 37°C. The tissue section was developed using HRP Conjugated Rabbit IgG Super Vision Assay Kit (Catalog # SV0002) with DAB as the chromogen.
Immunofluorescent analysis of SW480 cells, using SOX9 Antibody .
Figure 4. IHC analysis of SOX9 using anti-SOX9 antibody (M00177). SOX9 was detected in a paraffin-embedded section of human prostate cancer tissue. Heat mediated antigen retrieval was performed in EDTA buffer (pH 8.0, epitope retrieval solution). The tissue section was blocked with 10% goat serum. The tissue section was then incubated with 1:50 rabbit anti-SOX9 Antibody (M00177) overnight at 4°C. Peroxidase Conjugated Goat Anti-rabbit IgG was used as secondary antibody and incubated for 30 minutes at 37°C. The tissue section was developed using HRP Conjugated Rabbit IgG Super Vision Assay Kit (Catalog # SV0002) with DAB as the chromogen.
|
|
|
Figure 1. Western blot analysis of SOX9 using anti-SOX9 antibody (M00177). Electrophoresis was performed on a 5-20% SDS-PAGE gel at 70V (Stacking gel) / 90V (Resolving gel) for 2-3 hours. The sample well of each lane was loaded with 30 ug of sample under reducing conditions. Lane 1: human Hela whole cell lysates, Lane 2: human CACO-2 whole cell lysates, Lane 3: human SW620 whole cell lysates, Lane 4: rat PC-12 whole cell lysates, Lane 5: mouse brain tissue lysates. After electrophoresis, proteins were transferred to a nitrocellulose membrane at 150 mA for 50-90 minutes. Blocked the membrane with 5% non-fat milk/TBS for 1.5 hour at RT. The membrane was incubated with rabbit anti-SOX9 antigen affinity purified monoclonal antibody (Catalog # M00177) at 1:500 overnight at 4°C, then washed with TBS-0.1%Tween 3 times with 5 minutes each and probed with a goat anti-rabbit IgG-HRP secondary antibody at a dilution of 1:1000 for 1.5 hour at RT. The signal is developed using an Enhanced Chemiluminescent detection (ECL) kit (Catalog # EK1002) with Tanon 5200 system. A specific band was detected for SOX9 at approximately 70 kDa. The expected band size for SOX9 is at 56 kDa.
|
|
| 別品名 |
Transcription factor SOX-9;SOX9;
|
| 種由来 |
Human
|
| 交差種 |
Human Mouse Rat
|
| 適用 |
Western Blot Immunohistochemistry Immuno Fluorescence Immunocytochemistry (cell)
|
| 免疫動物 |
Rabbit Mono
|
| クローン |
DAO-19
|
| 抗体クラス |
IgG
|
| 標識物 |
Unlabeled
|
| 精製度 |
Affinity Purified
|
| Accession No.(Gene/Protein) |
P48436
|
| Gene Symbol |
SOX9
|
| 分子量 |
56137 MW
|
| 概要 |
Boster Bio Anti-SOX9 Rabbit Monoclonal Antibody catalog # M00177. Tested in WB, IHC, ICC/IF applications. This antibody reacts with Human, Mouse, Rat.
|
|
| メーカー |
品番 |
包装 |
|
BBT
|
M00177
|
100 UL
|
※表示価格について
| 当社在庫 |
なし
|
| 納期目安 |
1週間程度
|
| 保存温度 |
-20℃
|
|
※当社では商品情報の適切な管理に努めておりますが、表示される法規制情報は最新でない可能性があります。
また法規制情報の表示が無いものは、必ずしも法規制に非該当であることを示すものではありません。
商品のお届け前に最新の製品法規制情報をお求めの際はこちらへお問い合わせください。
|
※当社取り扱いの試薬・機器製品および受託サービス・創薬支援サービス(納品物、解析データ等)は、研究用としてのみ販売しております。
人や動物の医療用・臨床診断用・食品用としては、使用しないように、十分ご注意ください。
法規制欄に体外診断用医薬品と記載のものは除きます。
|
|
※リンク先での文献等のダウンロードに際しましては、掲載元の規約遵守をお願いします。
|