|
※サムネイル画像をクリックすると拡大画像が表示されます。
Figure 1 Overexpression Validation of PD-L1 in 293 Cells Loading: 15 μg of lysates per lane.Antibodies: RF16035 (A, 0.25 μg/mL; B, 0.5 μg/mL), 1 h incubation at RT in 5% NFDM/TBST.Secondary: Goat anti-mouse IgG HRP conjugate at 1:5000 dilution.
Figure 2 Independent Antibody Validation (IAV) via Protein Expression Profile in Cell Lines Loading: 15 μg of lysates per lane.Antibodies: 4059 (2 μg/mL), RF16035 (2 μg/mL), and beta-actin (1 μg/mL), 1 h incubation at RT in 5% NFDM/TBST.Secondary: Goat anti-rabbit and or anti-mouse IgG HRP conjugate at 1:10000 and 1:5000 dilution, respectively.
Figure 3 Validation with PD-L1 siRNA Knockdown in HeLa Cells HeLa cells were transfected with control siRNAs (lane 1) or PD-L1 siRNAs (lane 2) Loading: 10 μg of HeLa whole cell lysates per lane.Antibodies: RF16035 (2 μg/mL) and GAPDH (3783, 0.02 μg/mL), 1 h incubation at RT in 5% NFDM/TBST.Secondary: Goat anti-mouse IgG HRP conjugate at 1:5000 dilution.
Figure 4 Western Blot Validation of PD-L1 in Raji Cells Loading: Lysates/proteins at 15 μg per lane.Antibodies: RF16035 (4 μg/mL). 1 h incubation at RT in 5% NFDM/TBST.Secondary: Goat anti-mouse IgG HRP conjugate at 1:10000 dilution.
Figure 5 Immunofluorescence Validation of PD-L1 in Transfected 293 Cells Immunofluorescent analysis of 4% paraformaldehyde-fixed PD-L1 transfected 293 cells labeling PD-L1 with RF16035 at 2 μg/mL, followed by goat anti-mouse IgG secondary antibody at 1/500 dilution (red) and DAPI staining (blue).
Figure 6 Immunofluorescence Validation of PD-L1 in Human Stomach Carcinoma Tissue Immunofluorescent analysis of 4% paraformaldehyde-fixed human stomach carcinoma tissue labeling PD-L1 with RF16035 at 2 μg/mL, followed by goat anti-mouse IgG secondary antibody at 1/500 dilution (red) and DAPI staining (blue).
Figure 7 Immunofluorescence Validation of PD-L1 in Human Tonsil Tissue Immunofluorescent analysis of 4% paraformaldehyde-fixed human tonsil tissue labeling PD-L1 with RF16035 at 2 μg/mL, followed by goat anti-mouse IgG secondary antibody at 1/500 dilution (red) and DAPI staining (blue).
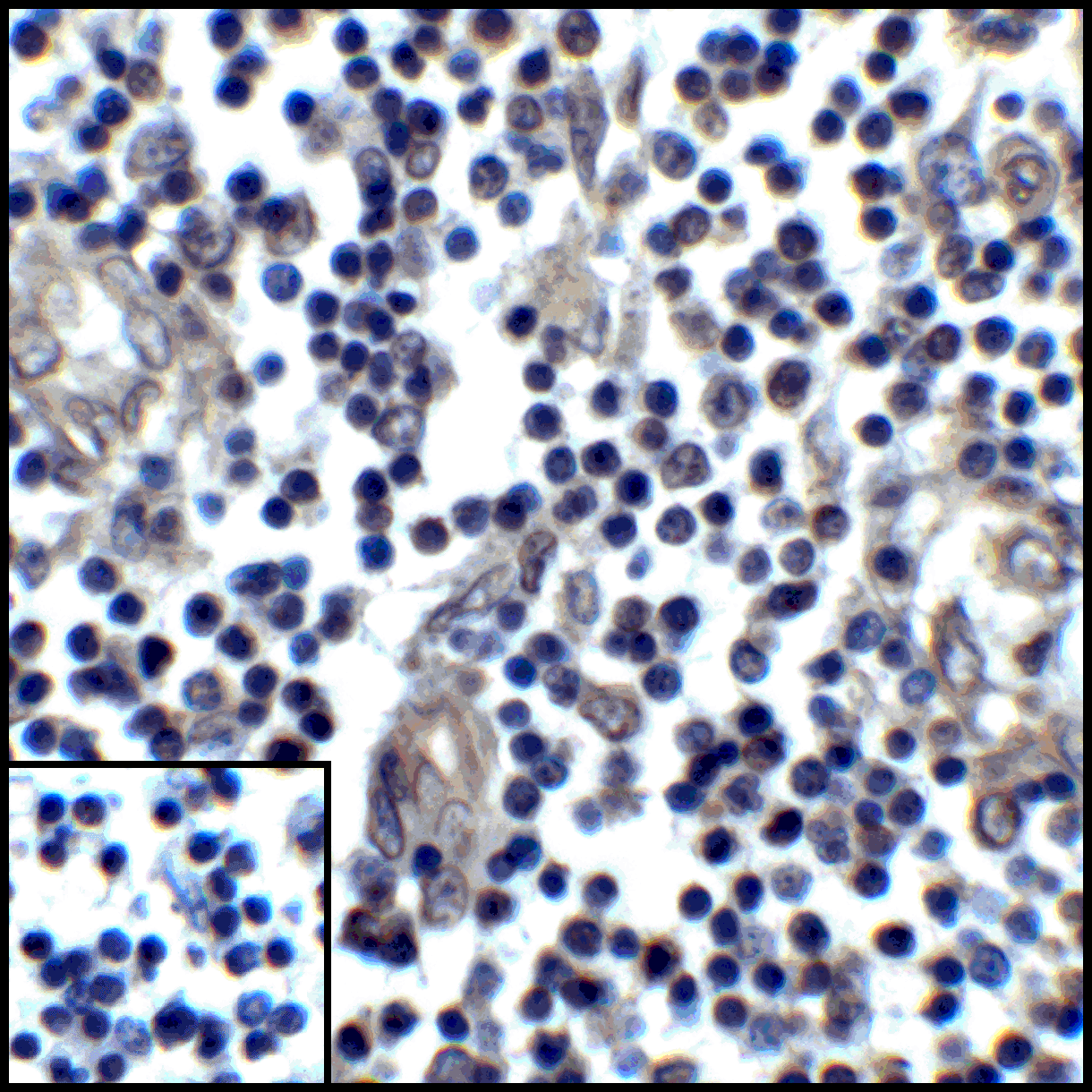
Figure 8 Immunohistochemistry Validation of PD-L1 in Human Stomach Carcinoma Tissue Immunohistochemical analysis of paraffin-embedded human stomach carcinoma tissue using anti-PD-L1 antibody (RF16035) at 5 μg/ml. Tissue was fixed with formaldehyde and blocked with 10% serum for 1 h at RT; antigen retrieval was by heat mediation with a citrate buffer (pH6). Samples were incubated with primary antibody overnight at 4℃. A goat anti-mouse IgG H&L (HRP) at 1/250 was used as secondary. Counter stained with Hematoxylin. Lower left: Use mouse IgG antibody at 1 μg/ml as control.
Figure 9 Immunohistochemistry Validation of PD-L1 in Human Tonsil Carcinoma Tissue Immunohistochemical analysis of paraffin-embedded human tonsil tissue using anti-PD-L1 antibody (RF16035) at 5 μg/ml. Tissue was fixed with formaldehyde and blocked with 10% serum for 1 h at RT; antigen retrieval was by heat mediation with a citrate buffer (pH6). Samples were incubated with primary antibody overnight at 4℃. A goat anti-mouse IgG H&L (HRP) at 1/250 was used as secondary. Counter stained with Hematoxylin. Lower left: Use mouse IgG antibody at 1 μg/ml as control.
Figure 10 Immunocytochemistry Validation of PD-L1 in PD-L1 Overexpressed 293 Cells Immunocytochemical analysis of PD-L1 transfected 293 cells using anti- PD-L1 antibody (RF16035) at 1 μg/mL. Cells was fixed with formaldehyde and blocked with 10% serum for 1 h at RT; antigen retrieval was by heat mediation with a citrate buffer (pH6). Samples were incubated with primary antibody overnight at 4℃. A goat anti-rabbit IgG H&L (HRP) at 1/250 was used as secondary. Counter stained with Hematoxylin. Lower left: Use mouse IgG antibody at 1 μg/mL as control.
|
|
|
Figure 1 Overexpression Validation of PD-L1 in 293 Cells Loading: 15 μg of lysates per lane.Antibodies: RF16035 (A, 0.25 μg/mL; B, 0.5 μg/mL), 1 h incubation at RT in 5% NFDM/TBST.Secondary: Goat anti-mouse IgG HRP conjugate at 1:5000 dilution.
|
|
| 別品名 |
PD-L1 Antibody: Programmed cell death 1 ligand-1, programmed death ligand 1, PDL1, PDL-1, B7-H1
|
| 交差種 |
Human Mouse
|
| 適用 |
Western Blot IHC paraffin embedding section Enzyme Linked Immunosorbent Assay Immuno Fluorescence Immunocytochemistry (cell)
|
| 免疫動物 |
Mouse
|
| クローン |
6H10
|
| 抗体クラス |
IgG1
|
| 抗原部位 |
Extracellular domain
|
| 標識物 |
Unlabeled
|
| 精製度 |
Ig fraction - Protein A
|
| GENE ID |
29126
|
| Accession No.(Gene/Protein) |
NP_054862
|
| Gene Symbol |
CD274
|
| 推奨品 |
ポジティブコントロール 品番:1340 - Human Stomach Carcinoma Tissue Lysate, ポジティブコントロール 品番:1315 - Human Tonsil Tissue
|
| その他 |
[Protein GI Number]7661534 [Swiss-Prot No]Q9NZQ7
|
| 参考文献 |
Holling TM, Schooten E, and van Den Elsing PJ. Function and regulation of MHC class II molecules in T-lymphocytes: of mice and men. Hum. Immunol. 2004; 65:282-90. Ishida Y, Agata Y, Shibahara K, et al. Induced expression of PD-1, a novel member of the immunoglobulin gene superfamily, upon programmed cell death. EMBO J. 1992; 11:3887-95. LaGier J and Pober JS. Immune accessory functions of human endothelial cells are modulated by overexpression of B7-H1 (PDL1). Hum. Immunol. 2006; 67:568-78. Aydin AM, Woldu SL, Hutchinson RC, et al. Spotlight on atezolizumab and its potential in the treatment of advanced urothelial bladder cancer.Onco. Targets Ther. 2017;10:1487-502.
|
|
| メーカー |
品番 |
包装 |
|
PSC
|
RF16035
|
0.02 MG [1 mg/mL]
|
※表示価格について
| 当社在庫 |
なし
|
| 納期目安 |
3週間程度
|
| 保存温度 |
-20℃
|
|
※当社では商品情報の適切な管理に努めておりますが、表示される法規制情報は最新でない可能性があります。
また法規制情報の表示が無いものは、必ずしも法規制に非該当であることを示すものではありません。
商品のお届け前に最新の製品法規制情報をお求めの際はこちらへお問い合わせください。
|
※当社取り扱いの試薬・機器製品および受託サービス・創薬支援サービス(納品物、解析データ等)は、研究用としてのみ販売しております。
人や動物の医療用・臨床診断用・食品用としては、使用しないように、十分ご注意ください。
法規制欄に体外診断用医薬品と記載のものは除きます。
|
|
※リンク先での文献等のダウンロードに際しましては、掲載元の規約遵守をお願いします。
|
|
※CAS Registry Numbers have not been verified by CAS and may be inaccurate.
|