ページの本文へ移動

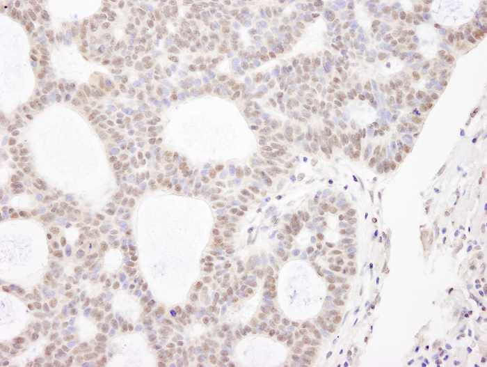
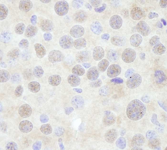
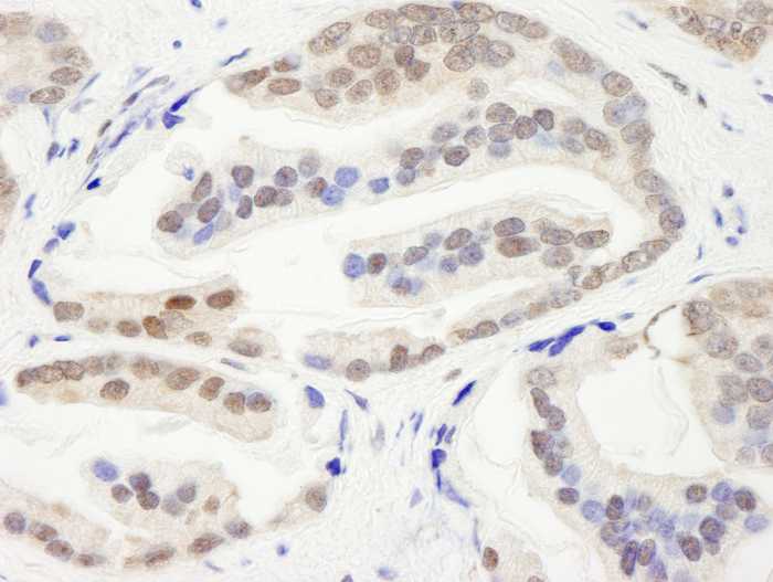
Anti CHD3 IHC  

※サムネイル画像をクリックすると拡大画像が表示されます。


別品名 ATP-dependent helicase CHD3, CHD-3, hZFH, mi-2 autoantigen 240 kDa protein, Mi-2a, Mi2-ALPHA, ZFH, zinc finger helicase, zinc-finger helicase (Snf2-like)
種由来 Human
交差種 Human
Mouse
適用 Immunohistochemistry
免疫動物 Rabbit
抗原部位 a.a.1950-2000
標識物 Unlabeled
精製度 Affinity Purified
GENE ID 1107
Accession No.(Gene/Protein) NP_001005273.1
メーカー 品番 包装
BET IHC-00247 0.1 ML
[50+ slides]
希望販売価格

※表示価格について

販売状況 品番変更、サイズ変更
当社在庫 なし
保存温度 4℃

 

商品のお問い合わせはこちら

 

メーカー情報
メーカー名 Bethyl Laboratories, Inc.
略号 BET
※当社では商品情報の適切な管理に努めておりますが、表示される法規制情報は最新でない可能性があります。
 また法規制情報の表示が無いものは、必ずしも法規制に非該当であることを示すものではありません。
 商品のお届け前に最新の製品法規制情報をお求めの際はこちらへお問い合わせください。  
※当社取り扱いの試薬・機器製品および受託サービス・創薬支援サービス(納品物、解析データ等)は、研究用としてのみ販売しております。
 人や動物の医療用・臨床診断用・食品用としては、使用しないように、十分ご注意ください。
 法規制欄に体外診断用医薬品と記載のものは除きます。
※リンク先での文献等のダウンロードに際しましては、掲載元の規約遵守をお願いします。
ページTOPへ

© COSMO BIO