|
|
|
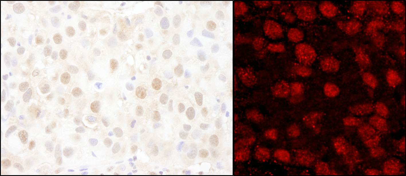
80174-1-RR
|
Anti PARP1, Recombinant Antibody
,
Human
(Rabbit Mono)
|
100 UL
|
¥85,000
|
当社在庫:
あり
|
|
|
キャンペーン
別包装
|
個別詳細
データシート
SDS
|
- 交差 : HU/ MS/ RT
- 精製度 : Ig-PA
- 適用 : WB/ IHC(p)/ ELISA/ IF/ IC
- 抗体クラス : IgG
- Clone :
3N19
- GeneID : 142
- AccessionNo(Gene/Protein) : BC037545
|
|
-20℃
|
|
|
|
|
22999-1-AP
|
Anti PARP1
,
Human
(Rabbit)
|
150 UL
|
¥67,000
|
当社在庫:
あり
|
|
|
キャンペーン
別包装
|
個別詳細
データシート
SDS
|
- 交差 : HU/ MS
- 精製度 : Affi
- 適用 : WB/ IHC(p)/ ELISA/ IF/ IC/ ICFC/ IP
- 抗体クラス : IgG
- GeneID : 142
- AccessionNo(Gene/Protein) : BC037545
|
|
-20℃
|
|
|
|
|
13371-1-AP
|
Anti PARP1, Trial Size: 20 UL
,
Human
(Rabbit)
|
20 UL
|
¥23,000
▼
キャンペーン価格
¥19,550
(~2026/02/27)
|
当社在庫:
あり
|
|
|
キャンペーン
別包装
|
個別詳細
データシート
SDS
|
- 交差 : HU/ MS/ RT
- 精製度 : Affi
- 適用 : WB/ IHC(p)/ ELISA/ IF/ IC/ ICFC/ IP/ ChIP/ Co-IP
- 抗体クラス : IgG
- GeneID : 142
- AccessionNo(Gene/Protein) : BC037545
|
|
-20℃
|
|
|
|
|
66520-1-IG
|
Anti PARP1
,
Human
(Mouse)
|
150 UL
|
¥67,000
|
当社在庫:
なし
入荷予定:
あり
納期目安:
発注済・入荷予定
|
|
|
キャンペーン
別包装
|
個別詳細
データシート
SDS
|
- 交差 : HU/ MS/ RT
- 精製度 : Ig-PG
- 適用 : WB/ IHC(p)/ ELISA/ IF/ IC/ ICFC/ IP/ Co-IP
- 抗体クラス : IgG1
- Clone :
1D7D4
- GeneID : 142
- AccessionNo(Gene/Protein) : BC037545
|
|
-20℃
|
|
|
|
|
60555-3-PBS
|
Anti PARP1, PBS Only buffer
,
Human
(Mouse)
|
100 UG
(1mg/ml)
|
¥167,000
|
当社在庫:
なし
納期目安:
約1.5ヶ月
|
|
|
キャンペーン
|
個別詳細
データシート
|
- 交差 : HU
- 精製度 : Ig-PG
- 適用 : ELISA
- 抗体クラス : IgG1
- Clone :
1E7E12
- GeneID : 142
- AccessionNo(Gene/Protein) : BC037545
- 添加剤 : Carrier-free/ PBS only buffer
- 形状 : Liq
|
|
-70℃
|
|
|
|
|
CR-66520
|
Anti PARP1
,
Human
(Mouse)
-
Cardinal Red
|
100 UL
|
¥83,000
|
当社在庫:
なし
納期目安:
1週間程度
|
|
|
キャンペーン
|
個別詳細
データシート
|
- 交差 : HU/ MS/ RT
- 精製度 : Ig-PG
- 適用 : ICFC
- 抗体クラス : IgG1
- Clone :
1D7D4
- GeneID : 142
- AccessionNo(Gene/Protein) : BC037545
|
|
-20℃
|
|
|
|
|
CL488-80174
|
Anti PARP1, Recombinant Antibody
,
Human
(Rabbit Mono)
-
CL Plus 488
|
100 UL
|
¥83,000
|
当社在庫:
なし
納期目安:
1週間程度
|
|
|
キャンペーン
|
個別詳細
データシート
|
- 交差 : HU/ MS/ RT
- 精製度 : Ig-PA
- 適用 : IF
- 抗体クラス : IgG
- Clone :
3N19
- GeneID : 142
- AccessionNo(Gene/Protein) : BC037545
|
|
-20℃
|
|
|
|
|
80174-1-PBS
|
Anti PARP1, Recombinant Antibody, PBS Only buffer
,
Human
(Rabbit Mono)
|
100 UG
(1mg/ml)
|
¥167,000
|
当社在庫:
なし
納期目安:
約1.5ヶ月
|
|
|
キャンペーン
|
個別詳細
データシート
SDS
|
- 交差 : HU/ MS/ RT
- 精製度 : Ig-PA
- 適用 : WB/ IHC(p)/ ELISA/ IF
- 抗体クラス : IgG
- Clone :
3N19
- GeneID : 142
- AccessionNo(Gene/Protein) : BC037545
- 添加剤 : Carrier-free/ PBS only buffer
- 形状 : Liq
|
|
-70℃
|
|
|
|
|
D12179
|
Anti PARP-1, acetyl Lys521
,
Human
|
100 UL
|
¥79,000
|
当社在庫:
なし
納期目安:
2週間程度
|
|
|
|
個別詳細
データシート
|
- 交差 : HU/ MS/ RT
- 翻訳後修飾 :
アセチル化
- 精製度 : Affi
- 適用 : WB/ ELISA
- AccessionNo(Gene/Protein) : P09874
|
|
-20℃
|
全ての画像(2枚)を見る
|
|
|
|
C21676
|
Anti PARP-1
,
Human
|
100 UL
|
¥79,000
|
当社在庫:
なし
納期目安:
2週間程度
|
|
|
|
個別詳細
データシート
|
- 交差 : HU/ MS/ RT
- 精製度 : Affi
- 適用 : WB/ IHC(p)/ IF
- AccessionNo(Gene/Protein) : P09874
|
|
-20℃
|
|
|
|
|
CL647-66520
|
Anti PARP1
,
Human
(Mouse)
-
CL Plus 647
|
100 UL
|
¥83,000
|
当社在庫:
なし
納期目安:
1週間程度
|
|
|
キャンペーン
|
個別詳細
データシート
|
- 交差 : HU/ MS/ RT
- 精製度 : Ig-PG
- 適用 : IF/ IC/ ICFC
- 抗体クラス : IgG1
- Clone :
1D7D4
- GeneID : 142
- AccessionNo(Gene/Protein) : BC037545
|
|
-20℃
|
|
|
|
|
CL647-13371
|
Anti PARP1
,
Human
(Rabbit)
-
CL Plus 647
|
100 UL
|
¥83,000
|
当社在庫:
なし
納期目安:
1週間程度
|
|
|
キャンペーン
|
個別詳細
データシート
|
- 交差 : HU/ MS/ RT
- 精製度 : Affi
- 適用 : ICFC
- 抗体クラス : IgG
- GeneID : 142
- AccessionNo(Gene/Protein) : BC037545
|
|
-20℃
|
|
|
|
|
CL488-13371
|
Anti PARP1
,
Human
(Rabbit)
-
CL Plus 488
|
100 UL
|
¥83,000
|
当社在庫:
なし
納期目安:
1週間程度
|
|
|
キャンペーン
|
個別詳細
データシート
SDS
|
- 交差 : HU/ MS/ RT
- 精製度 : Affi
- 適用 : IF/ IC/ ICFC
- 抗体クラス : IgG
- GeneID : 142
- AccessionNo(Gene/Protein) : BC037545
|
|
-20℃
|
|
|
|
|
IHC-00279-T
|
Anti PARP1
,
Human
(Rabbit)
|
2.5 UG
(10 μl (5+ slides))
|
¥27,000
|
当社在庫:
なし
納期目安:
1週間程度
|
|
|
|
個別詳細
データシート
|
- 交差 : HU
- 精製度 : Affi
- 適用 : IHC/ IF
- 抗体クラス : IgG
- GeneID : 142
- AccessionNo(Gene/Protein) : P09874, NP_001609.1
|
|
4℃
|
全ての画像(3枚)を見る
|
|
|
|
SC-74470 AF546
|
Anti PARP-1 (B-10)
,
Human
(Mouse)
-
Alexa 546
|
200 UG
(200 μg/ml)
|
¥82,000
|
当社在庫:
なし
納期目安:
約10日
|
|
|
|
個別詳細
データシート
|
- 交差 : HU/ MS/ RT
- 適用 : WB/ IHC(p)/ IHC(f)/ IF/ FC
- 抗体クラス : IgG1
- Clone :
B-10
- GeneID : Human Gene ID; 142, Mouse Gene ID; 11545
|
|
4℃禁凍結
|
|
|
|
|
SC-8007 AF594
|
Anti PARP-1 (F-2)
,
Human
(Mouse)
-
Alexa 594
|
200 UG
(200 μg/ml)
|
¥82,000
|
当社在庫:
なし
納期目安:
約10日
|
|
|
|
個別詳細
データシート
|
- 交差 : HU
- 適用 : WB/ IHC(p)/ IHC(f)/ IF/ FC
- 抗体クラス : IgG2a
- Clone :
F-2
- GeneID : Human Gene ID; 142
|
|
4℃禁凍結
|
|
|
|
|
SC-74470 HRP
|
Anti PARP-1 (B-10)
,
Human
(Mouse)
-
HRP
|
200 UG
(200 μg/ml)
|
¥73,000
|
当社在庫:
なし
納期目安:
約10日
|
|
|
|
個別詳細
データシート
SDS
|
- 交差 : HU/ MS/ RT
- 適用 : WB/ IHC(p)/ IHC(f)/ ELISA
- 抗体クラス : IgG1
- Clone :
B-10
- GeneID : Human Gene ID; 142, Mouse Gene ID; 11545
|
劇
|
4℃禁凍結
|
|
|
|
|
SC-74470 AF680
|
Anti PARP-1 (B-10)
,
Human
(Mouse)
-
Alexa 680
|
200 UG
(200 μg/ml)
|
¥82,000
|
当社在庫:
なし
納期目安:
約10日
|
|
|
|
個別詳細
データシート
|
- 交差 : HU/ MS/ RT
- 適用 : WB/ IHC(f)/ IF/ FC
- 抗体クラス : IgG1
- Clone :
B-10
- GeneID : Human Gene ID; 142, Mouse Gene ID; 11545
|
|
4℃禁凍結
|
|
|
|
|
SC-74470 AF488
|
Anti PARP-1 (B-10)
,
Human
(Mouse)
-
Alexa 488
|
200 UG
(200 μg/ml)
|
¥82,000
|
当社在庫:
なし
納期目安:
約10日
|
|
|
|
個別詳細
データシート
|
- 交差 : HU/ MS/ RT
- 適用 : WB/ IHC(p)/ IHC(f)/ IF/ FC
- 抗体クラス : IgG1
- Clone :
B-10
- GeneID : Human Gene ID; 142, Mouse Gene ID; 11545
|
|
4℃禁凍結
|
|
|
|
|
A301-376A-T
|
Anti PARP1
,
Human
(Rabbit)
|
2 UG
(10 μl (200 μg/ml))
|
¥27,000
|
当社在庫:
なし
納期目安:
1週間程度
|
|
|
|
個別詳細
データシート
|
- 交差 : HU
- 精製度 : Affi
- 適用 : WB/ IHC/ IF
- 抗体クラス : IgG
- GeneID : 142
- AccessionNo(Gene/Protein) : P09874, NP_001609.1
|
|
4℃
|
全ての画像(2枚)を見る
|
|
|
|
85175-1-PBS
|
Anti PARP1- Cleaved (Asp214) 1, Recombinant antibody, PBS Only
,
Human
(Rabbit)
|
100 UG
(1mg/ml)
|
¥167,000
|
当社在庫:
なし
納期目安:
約1.5ヶ月
|
|
|
キャンペーン
|
個別詳細
データシート
|
- 交差 : HU
- 精製度 : Ig-PA
- 抗体クラス : IgG
- Clone :
242461B10
- GeneID : 142
- AccessionNo(Gene/Protein) : BC037545
- 添加剤 : Carrier-free/ PBS only buffer
- 形状 : Liq
|
|
-70℃
|
|
|
|
|
66520-1-PBS
|
Anti PARP1, PBS Only buffer
,
Human
(Mouse)
|
100 UG
(1mg/ml)
|
¥167,000
|
当社在庫:
なし
納期目安:
約1.5ヶ月
|
|
|
キャンペーン
|
個別詳細
データシート
SDS
|
- 交差 : HU/ MS/ RT
- 精製度 : Ig-PG
- 適用 : WB/ IHC(p)/ ELISA/ IF/ IC/ ICFC/ IP
- 抗体クラス : IgG1
- Clone :
1D7D4
- GeneID : 142
- AccessionNo(Gene/Protein) : BC037545
- 添加剤 : Carrier-free/ PBS only buffer
- 形状 : Liq
|
|
-70℃
|
|
|
|
|
CL488-66520
|
Anti PARP1
,
Human
(Mouse)
-
CL 488
|
100 UL
|
¥83,000
|
当社在庫:
なし
納期目安:
1週間程度
|
|
|
キャンペーン
|
個別詳細
データシート
SDS
|
- 交差 : HU/ MS
- 精製度 : Ig-PG
- 適用 : IF/ ICFC
- 抗体クラス : IgG1
- Clone :
1D7D4
- GeneID : 142
- AccessionNo(Gene/Protein) : BC037545
|
|
-20℃
|
|
|
|
|
SC-8007 AF546
|
Anti PARP-1 (F-2)
,
Human
(Mouse)
-
Alexa 546
|
200 UG
(200 μg/ml)
|
¥82,000
|
当社在庫:
なし
納期目安:
約10日
|
|
|
|
個別詳細
データシート
|
- 交差 : HU
- 適用 : WB/ IHC(p)/ IHC(f)/ IF/ FC
- 抗体クラス : IgG2a
- Clone :
F-2
- GeneID : Human Gene ID; 142
|
|
4℃禁凍結
|
|
|
|
|
SC-8007 AF680
|
Anti PARP-1 (F-2)
,
Human
(Mouse)
-
Alexa 680
|
200 UG
(200 μg/ml)
|
¥82,000
|
当社在庫:
なし
納期目安:
約10日
|
|
|
|
個別詳細
データシート
|
- 交差 : HU
- 適用 : WB/ IHC(f)/ IF/ FC
- 抗体クラス : IgG2a
- Clone :
F-2
- GeneID : Human Gene ID; 142
|
|
4℃禁凍結
|
|
|
|
|
SC-74470 PE
|
Anti PARP-1 (B-10)
,
Human
(Mouse)
-
PE
|
200 UG
(200 μg/ml)
|
¥79,000
|
当社在庫:
なし
納期目安:
約10日
|
|
|
|
個別詳細
データシート
|
- 交差 : HU/ MS/ RT
- 適用 : IHC(p)/ IHC(f)/ IF/ FC
- 抗体クラス : IgG1
- Clone :
B-10
- GeneID : Human Gene ID; 142, Mouse Gene ID; 11545
|
|
4℃禁凍結
|
|
|
|
|
SC-74470 AF790
|
Anti PARP-1 (B-10)
,
Human
(Mouse)
-
Alexa 790
|
200 UG
(200 μg/ml)
|
¥82,000
|
当社在庫:
なし
納期目安:
約10日
|
|
|
|
個別詳細
データシート
|
- 交差 : HU/ MS/ RT
- 適用 : WB/ IHC(f)/ IF/ FC
- 抗体クラス : IgG1
- Clone :
B-10
- GeneID : Human Gene ID; 142, Mouse Gene ID; 11545
|
|
4℃禁凍結
|
|
|
|
|
SC-74470 AF594
|
Anti PARP-1 (B-10)
,
Human
(Mouse)
-
Alexa 594
|
200 UG
(200 μg/ml)
|
¥82,000
|
当社在庫:
なし
納期目安:
約10日
|
|
|
|
個別詳細
データシート
|
- 交差 : HU/ MS/ RT
- 適用 : WB/ IHC(p)/ IHC(f)/ IF/ FC
- 抗体クラス : IgG1
- Clone :
B-10
- GeneID : Human Gene ID; 142, Mouse Gene ID; 11545
|
|
4℃禁凍結
|
|
|
|
|
A301-375A-T
|
Anti PARP1
,
Human
(Rabbit)
|
2 UG
(10 μl (200 μg/ml))
|
¥27,000
|
当社在庫:
なし
納期目安:
1週間程度
|
|
|
|
個別詳細
データシート
|
- 交差 : HU
- 精製度 : Affi
- 適用 : WB
- 抗体クラス : IgG
- GeneID : 142
- AccessionNo(Gene/Protein) : P09874, NP_001609.1
|
|
4℃
|
|
|
|
|
85175-2-PBS
|
Anti PARP1- Cleaved (Asp214) 1, Recombinant antibody, PBS Only
,
Human
(Rabbit)
|
100 UG
(1mg/ml)
|
¥167,000
|
当社在庫:
なし
納期目安:
約1.5ヶ月
|
|
|
キャンペーン
|
個別詳細
データシート
|
- 交差 : HU
- 精製度 : Ig-PA
- 抗体クラス : IgG
- Clone :
242461C12
- GeneID : 142
- AccessionNo(Gene/Protein) : BC037545
- 添加剤 : Carrier-free/ PBS only buffer
- 形状 : Liq
|
|
-70℃
|
|
|
|
|
60555-2-PBS
|
Anti PARP1, PBS Only buffer
,
Human
(Mouse)
|
100 UG
(1mg/ml)
|
¥167,000
|
当社在庫:
なし
納期目安:
約1.5ヶ月
|
|
|
キャンペーン
|
個別詳細
データシート
|
- 交差 : HU
- 精製度 : Ig-PG
- 適用 : ELISA
- 抗体クラス : IgG1
- Clone :
3G10G11
- GeneID : 142
- AccessionNo(Gene/Protein) : BC037545
- 添加剤 : Carrier-free/ PBS only buffer
- 形状 : Liq
|
|
-70℃
|
|
|
|
|
G66520-1-5C
|
Anti PARP1, MultiProTM 5CFLX oligonucleotide-conjugate for Single Cell Sequencing
,
Human
(Mouse)
-
oligo
|
10 UG
|
¥86,000
|
当社在庫:
なし
納期目安:
1週間程度
|
|
|
キャンペーン
|
個別詳細
マニュアル
|
- 交差 : HU
- 精製度 : Ig-PG
- 適用 : CITE-seq/ sc-seq
- 抗体クラス : IgG1
- Clone :
1D7D4
- GeneID : 142
- AccessionNo(Gene/Protein) : BC037545
|
|
4℃
|
|
|
|
|
D12179
|
Anti PARP-1, acetyl Lys521
,
Human
|
50 UL
|
¥57,000
|
当社在庫:
なし
納期目安:
2週間程度
|
|
|
|
個別詳細
データシート
|
- 交差 : HU/ MS/ RT
- 翻訳後修飾 :
アセチル化
- 精製度 : Affi
- 適用 : WB/ ELISA
- AccessionNo(Gene/Protein) : P09874
|
|
-20℃
|
全ての画像(2枚)を見る
|
|
|
|
C21676
|
Anti PARP-1
,
Human
|
50 UL
|
¥57,000
|
当社在庫:
なし
納期目安:
2週間程度
|
|
|
|
個別詳細
データシート
|
- 交差 : HU/ MS/ RT
- 精製度 : Affi
- 適用 : WB/ IHC(p)/ IF
- AccessionNo(Gene/Protein) : P09874
|
|
-20℃
|
|
|
|
|
CL555-66520
|
Anti PARP1
,
Human
(Mouse)
-
CL 555
|
100 UL
|
¥83,000
|
当社在庫:
なし
納期目安:
1週間程度
|
|
|
キャンペーン
|
個別詳細
データシート
|
- 交差 : HU/ MS/ RT
- 精製度 : Ig-PG
- 適用 : IF/ IC/ ICFC
- 抗体クラス : IgG1
- Clone :
1D7D4
- GeneID : 142
- AccessionNo(Gene/Protein) : BC037545
|
|
-20℃
|
|
|
|
|
CL594-66520
|
Anti PARP1
,
Human
(Mouse)
-
CL 594
|
100 UL
|
¥83,000
|
当社在庫:
なし
納期目安:
1週間程度
|
|
|
キャンペーン
|
個別詳細
データシート
SDS
|
- 交差 : HU/ MS/ RT
- 精製度 : Ig-PG
- 適用 : IF/ IC/ ICFC
- 抗体クラス : IgG1
- Clone :
1D7D4
- GeneID : 142
- AccessionNo(Gene/Protein) : BC037545
|
|
-20℃
|
|
|
|
|
22999-1-AP
|
Anti PARP1, Trial Size: 20 UL
,
Human
(Rabbit)
|
20 UL
|
¥23,000
▼
キャンペーン価格
¥19,550
(~2026/02/27)
|
当社在庫:
なし
納期目安:
1週間程度
|
|
|
キャンペーン
別包装
|
個別詳細
データシート
SDS
|
- 交差 : HU/ MS
- 精製度 : Affi
- 適用 : WB/ IHC(p)/ ELISA/ IF/ IC/ ICFC/ IP
- 抗体クラス : IgG
- GeneID : 142
- AccessionNo(Gene/Protein) : BC037545
|
|
-20℃
|
|
|
|
|
SC-8007 AF790
|
Anti PARP-1 (F-2)
,
Human
(Mouse)
-
Alexa 790
|
200 UG
(200 μg/ml)
|
¥82,000
|
当社在庫:
なし
納期目安:
約10日
|
|
|
|
個別詳細
データシート
|
- 交差 : HU
- 適用 : WB/ IHC(f)/ IF/ FC
- 抗体クラス : IgG2a
- Clone :
F-2
- GeneID : Human Gene ID; 142
|
|
4℃禁凍結
|
|
|
|
|
SC-74470 FITC
|
Anti PARP-1 (B-10)
,
Human
(Mouse)
-
FITC
|
200 UG
(200 μg/ml)
|
¥76,000
|
当社在庫:
なし
納期目安:
約10日
|
|
|
|
個別詳細
データシート
|
- 交差 : HU/ MS/ RT
- 適用 : IHC(p)/ IHC(f)/ IF/ FC
- 抗体クラス : IgG1
- Clone :
B-10
- GeneID : Human Gene ID; 142, Mouse Gene ID; 11545
|
|
4℃禁凍結
|
|
|
|
|
SC-74470 AF647
|
Anti PARP-1 (B-10)
,
Human
(Mouse)
-
Alexa 647
|
200 UG
(200 μg/ml)
|
¥82,000
|
当社在庫:
なし
納期目安:
約10日
|
|
|
|
個別詳細
データシート
|
- 交差 : HU/ MS/ RT
- 適用 : WB/ IHC(p)/ IHC(f)/ IF/ FC
- 抗体クラス : IgG1
- Clone :
B-10
- GeneID : Human Gene ID; 142, Mouse Gene ID; 11545
|
|
4℃禁凍結
|
|
|
|
|
SC-74470 AC
|
Anti PARP-1 (B-10)
,
Human
(Mouse)
-
Agarose
|
500 UG
(500μg/ml, 25%ag)
|
¥96,000
|
当社在庫:
なし
納期目安:
約10日
|
|
|
|
個別詳細
データシート
|
- 交差 : HU/ MS/ RT
- 適用 : IP
- 抗体クラス : IgG1
- Clone :
B-10
- GeneID : Human Gene ID; 142, Mouse Gene ID; 11545
|
|
4℃禁凍結
|
|
|
|
|
SC-8007 PE
|
Anti PARP-1 (F-2)
,
Human
(Mouse)
-
PE
|
200 UG
(200 μg/ml)
|
¥79,000
|
当社在庫:
なし
納期目安:
約10日
|
|
|
|
個別詳細
データシート
|
- 交差 : HU
- 適用 : IHC(p)/ IHC(f)/ IF/ FC
- 抗体クラス : IgG2a
- Clone :
F-2
- GeneID : Human Gene ID; 142
|
|
4℃禁凍結
|
|
|
|
|
66520-1-IG
|
Anti PARP1, Trial Size: 20 UL
,
Human
(Mouse)
|
20 UL
|
¥23,000
▼
キャンペーン価格
¥19,550
(~2026/02/27)
|
当社在庫:
なし
納期目安:
1週間程度
|
|
|
キャンペーン
別包装
|
個別詳細
データシート
SDS
|
- 交差 : HU/ MS/ RT
- 精製度 : Ig-PG
- 適用 : WB/ IHC(p)/ ELISA/ IF/ IC/ ICFC/ IP/ Co-IP
- 抗体クラス : IgG1
- Clone :
1D7D4
- GeneID : 142
- AccessionNo(Gene/Protein) : BC037545
|
|
-20℃
|
|
|
|
|
80174-1-RR
|
Anti PARP1, Recombinant Antibody, Trial Size: 20 UL
,
Human
(Rabbit Mono)
|
20 UL
|
¥29,000
▼
キャンペーン価格
¥24,650
(~2026/02/27)
|
当社在庫:
なし
納期目安:
1週間程度
|
|
|
キャンペーン
別包装
|
個別詳細
データシート
SDS
|
- 交差 : HU/ MS/ RT
- 精製度 : Ig-PA
- 適用 : WB/ IHC(p)/ ELISA/ IF/ IC
- 抗体クラス : IgG
- Clone :
3N19
- GeneID : 142
- AccessionNo(Gene/Protein) : BC037545
|
|
-20℃
|
|
|
|
|
ORB676255
|
Anti PARP1
,
Human
(Rabbit)
|
50 UG
|
¥62,000
|
当社在庫:
なし
納期目安:
約1ヶ月
|
|
|
|
個別詳細
データシート
|
|
|
-20℃
|
|
|
|
|
STJ98308
|
Anti PARP1
,
Human
(Mouse)
|
200 UG
|
¥140,000
|
当社在庫:
なし
納期目安:
3週間程度
|
|
|
|
個別詳細
データシート
|
- 交差 : HU
- 精製度 : Affi
- 適用 : WB/ ELISA/ FC
- 抗体クラス : IgG1
- Clone :
7A10
- GeneID : 142
- AccessionNo(Gene/Protein) : P09874
- GeneSymbol : PARP1
|
|
-20℃
|
|
|
|
|
STJ114859
|
Anti PARP1
,
Human
(Rabbit)
|
200 UL
|
¥259,000
|
当社在庫:
なし
納期目安:
3週間程度
|
|
|
|
個別詳細
データシート
|
- 交差 : HU/ MS/ RT
- 精製度 : Affi
- 適用 : WB/ IHC(p)/ ELISA/ IF/ IC
- 抗体クラス : IgG
- GeneID : 142
- AccessionNo(Gene/Protein) : P09874
- GeneSymbol : PARP1
- 分子量 : Calculated: 113kDa. Observed: 116kDa
|
|
-20℃
|
|
|
|
|
STJ113690
|
Anti PARP1
,
Human
(Rabbit)
|
200 UL
|
¥212,000
|
当社在庫:
なし
納期目安:
3週間程度
|
|
|
|
個別詳細
データシート
|
- 交差 : HU/ MS/ RT
- 精製度 : Affi
- 適用 : WB/ ELISA
- 抗体クラス : IgG
- GeneID : 142
- AccessionNo(Gene/Protein) : P09874
- GeneSymbol : PARP1
- 分子量 : Calculated: 113kDa. Observed: 120kDa
|
|
-20℃
|
|
|
|
|
STJ114859
|
Anti PARP1
,
Human
(Rabbit)
|
100 UL
|
¥134,000
|
当社在庫:
なし
納期目安:
3週間程度
|
|
|
|
個別詳細
データシート
|
- 交差 : HU/ MS/ RT
- 精製度 : Affi
- 適用 : WB/ IHC(p)/ ELISA/ IF/ IC
- 抗体クラス : IgG
- GeneID : 142
- AccessionNo(Gene/Protein) : P09874
- GeneSymbol : PARP1
- 分子量 : Calculated: 113kDa. Observed: 116kDa
|
|
-20℃
|
|
|
|
|
STJ113690
|
Anti PARP1
,
Human
(Rabbit)
|
100 UL
|
¥110,000
|
当社在庫:
なし
納期目安:
3週間程度
|
|
|
|
個別詳細
データシート
|
- 交差 : HU/ MS/ RT
- 精製度 : Affi
- 適用 : WB/ ELISA
- 抗体クラス : IgG
- GeneID : 142
- AccessionNo(Gene/Protein) : P09874
- GeneSymbol : PARP1
- 分子量 : Calculated: 113kDa. Observed: 120kDa
|
|
-20℃
|
|