使用文献13,000報突破!(2025年6月現在)
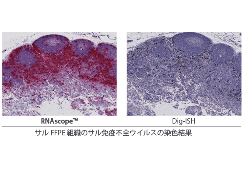
従来のDigoxigenin-ISH法よりも
100倍以上の感度
RNAscope™
RNA in situ ハイブリダイゼーション
低発現ターゲットも高感度に可視化
RNAscope™ は、FFPE 組織、凍結組織、培養細胞等のサンプル中の RNA 局在を、独自のシグナル増幅法を用いた RNA ISH(RNA in situ ハイブリダイゼーション)法により高感度に可視化する技術です。
低発現遺伝子の検出・定量にも対応し、シンプルなワークフローで特異性も高く、論文掲載実績も年々増加しており、2025年6月には13,000報を突破しました。ISH 定量解析まで見据えた研究に最適です。
様々な研究での応用も期待でき、以下の研究分野や解析に最適です。
●発現量の低い遺伝子の解析(検出・定量) ●新規バイオマーカーの探索(がん) ●幹細胞・神経科学研究 ●抗体を用いた免疫組織染色の検証(ISH×IHC) ●Non-cording RNAの解析 ●ISH 定量 解析 など
こんな方におすすめ
免疫染色、in situ ハイブリダイゼーションのお悩み
●従来のDigoxigenin-ISHの感度に満足していない
●免疫組織染色で良いデータがない
●ターゲットの抗体やプローブが市販されていない
●古いFFPE組織でもRNA ISHってできるのかな?
実験時間や手技のお悩み
●RNA in situ ハイブリダイゼーションって難しそう。
●全ての試薬を1から揃えるにはコストがかかりそう。
●慣れるまでに時間がかかりそう。
実験環境のお悩み
●RNase Freeの環境をこれから新しく作るスペースがない。
●RNA ISHをできるスタッフがいない。
●初めての実験手法の導入に割く時間が足りない。
そんなお悩みを解決する
高品質なRNA in situ ハイブリダイゼーション技術
それが“RNAscope™”です。
RNAscope™の特長
POINT01
超高感度
従来のDigoxigenin-ISH法よりも100倍以上高感度
分子のRNAを1ドットとして検出可能
特異的
ユニークなZ型プローブとシグナル増幅法で高いS/N比を実現
POINT02
POINT03
汎用的
様々な生物種で使用可能
塩基配列があれば、あらゆる動物種のRNAを検出可能
定量的
ドット数をカウントすることで、 コピー数の定量が可能
POINT04
RNA1分子のシグナル増幅原理
ユニークなZ型プローブとシグナル増幅法で高感度検出
RNAscope™はプローブあたり18-25塩基となります。それが2つ並んでターゲットRNAにハイブリダイズすることでZZペア(50塩基程度/1ペア) を形成します。
その後上部に1つのPreAmplifierが結合し、そこに20個のAmplifierAが結合することで増幅しています。
詳しくはこちらから
カタログ
アドバンスドセルダイアグノスティクス社 RNAscopeアッセイ
RNA in situ ハイブリダイゼーションについてのカタログです。
1分でわかる!RNAscope™が選ばれる理由
商品ラインアップ
マニュアルアッセイ
マニュアルアッセイ
| RNAscope™ 2.5 HD BROWN RNAscope™ 2.5 HD RED |
RNAscope™ 2.5 HD Duplex | RNAscope™ Fluorescent Multiplex |
|
|---|---|---|---|
| 検出系 | 発色(Fast Redのみ蛍光観察可) | 蛍光 | |
| 同時検出可能数 | 1 | 2 | 3~4 |
| 適用サンプル | パラフィン切片、凍結組織(固定・新鮮)、接着細胞 | ||
自動染色アッセイ
自動染色アッセイ
- RNAscope™ 2.5 VS アッセイ(ベンタナディスカバリーULTRA対応)
- RNAscope™ 2.5 LS アッセイ(BOND RX対応)
受託サービス
受託サービス
- RNAscope™ アッセイサービス
カタログプローブは100,000種類以上ご用意!
カスタムオーダーも可能

アプリケーション
RNAscope™を用いた心筋梗塞病変の
組織学的評価と注意点
名古屋大学医学系研究科 腫瘍病理学
原 昭壽 先生
“「免疫染色に適した抗体が確立していない比較的マイナーなタンパク質の発現組織解析」を目的としたケースでは RNAscope™ が積極的に推奨されます。”




